Răng khôn thường mọc lệch gây đau nhức, khó chịu, thậm chí sưng tấy, sốt cao. Do vậy, đau răng khôn uống thuốc gì và ăn gì để giảm đau, giảm viêm là thắc mắc của không ít người.
Đau răng khôn kéo dài là nỗi ám ảnh của nhiều người
Răng khôn là gì?
Răng khôn hay còn được gọi là bộ răng hàm thứ ba, thường xuất hiện trong độ tuổi từ 17 đến 21. Mỗi người sẽ có bốn chiếc răng khôn ở mỗi góc hàm trên và hàm dưới.
Thực tế thì răng khôn không có chức năng nhai, đó là lý do tại sao chúng thường bị loại bỏ. Vì răng vĩnh viễn đã mọc từ trước và có thể mọc kín chỗ, nên những chiếc răng khôn mọc sau có thể không có không gian để mọc nên chen chúc và chèn ép các răng hàm khác.
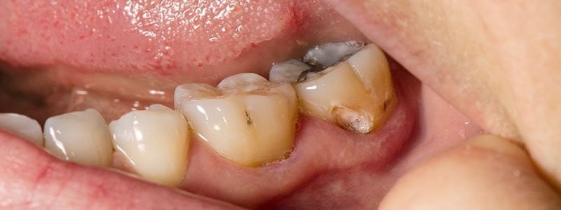
Răng khôn có thể mọc lệch ảnh hưởng đến răng kế cận
Nguyên nhân gây đau răng khôn
Đau nhức răng khôn do một số vấn đề sau gây nên:
Răng khôn đang mọc
Khi những chiếc răng khôn xuyên thủng mô nướu cứng, khu vực này có thể bắt đầu bị viêm và kích ứng.
Răng khôn mọc lệch
Răng khôn mọc lệch có thể gây nhiễm trùng bên trong xương hàm, sưng tấy, đau nhức. Thậm chí, nếu mọc quá lệch, răng khôn sẽ gây chèn ép răng bên cạnh hoặc chèn ra má gây rách má.
Bệnh nướu răng
Răng khôn bị mọc một phần có thể gây ra tình trạng gọi là viêm phúc mạc. Mặc dù không phải là nhiễm trùng nhưng nó dẫn đến sưng và viêm mô nướu xung quanh răng khôn, và gây ra cơn đau dữ dội.
U nang răng khôn
Đôi khi, một u nang lớn có thể hình thành xung quanh một chiếc răng khôn bị va đập gây đau hàm dữ dội. Nếu trường hợp này xảy ra, có thể cần phải nhổ bỏ chiếc răng khôn ngay lập tức.
Sâu răng
Răng khôn bị sâu rất phổ biến do khó làm sạch hơn các răng khác
Đau răng khôn uống thuốc gì?
Trong trường hợp răng khôn gây khó chịu khi mọc lên, nhưng không gây ảnh hưởng nghiêm trọng, sử dụng nước súc miệng kháng khuẩn có chứa chlorhexidine có thể giúp làm dịu nướu bị sưng đau.
Nếu cảm thấy cực kì khó chịu, đau răng khôn uống thuốc gì? Bạn có thể sử dụng thuốc giảm đau không kê đơn, tuy nhiên cần phải tuân thủ hướng dẫn về cách dùng và liều lượng.
Nếu cơn đau kéo dài, bạn nên đi thăm khám nha khoa, chụp X-quang để xác định liệu răng có mọc lệch hay không. Trong trường hợp này, nha sĩ có thể khuyên bạn nên nhổ bỏ một hoặc nhiều răng khôn do:
-
Răng sẽ không bao giờ mọc lên đúng cách vì không có đủ chỗ trong nướu
-
Chiếc răng chỉ mới nhú lên một phần và do khó làm sạch nên nguy cơ bị sâu răng rất cao
-
Răng khôn đang gây ra cảm giác khó chịu và đau dữ dội.
Đau răng khôn nên ăn gì?
Chỉ quan tâm đến đau răng khôn uống thuốc gì là chưa đủ. Khi bị đau răng, chế độ ăn uống cũng rất quan trọng, vì có thể góp phần làm giảm đau hoặc khiến cơn đau thêm trầm trọng hơn.
Nhìn chung, người bị đau răng khôn nên ăn những thức ăn mềm, không gây kích ứng thêm nướu và không làm trầm trọng thêm tình trạng ê buốt răng. Một số món mềm như: súp, phô mai que, khoai tây nghiền, cháo, trái cây mềm, các loại bánh mềm, sinh tố.
Đồ ăn không nên quá nóng hay quá lạnh. Nên tránh xa những thức ăn khó nhai, thực phẩm có tính axit, cay và mặn bởi có thể gây kích ứng thêm nướu răng.
Nên ăn đồ mềm khi bị đau răng khôn
Chăm sóc răng miệng khi đau răng khôn như thế nào?
Chăm sóc răng miệng đúng cách sẽ giúp giảm đau, hạn chế viêm, kích ứng, ngăn ngừa nhiễm trùng. Cần giữ cho khu vực xung quanh răng khôn sạch sẽ để giúp vết thương nhanh lành hơn.
Bạn nên dùng bàn chải có lông mềm, đầu bàn chải thuôn nhỏ để đánh sạch cả góc hàm. Mỗi lần đánh răng nên đánh tối thiểu 2 phút để làm sạch các mặt của răng.
Sau khi đánh răng, nên dùng nước ngậm răng miệng thảo dược để hỗ trợ làm sạch răng miệng tốt hơn, ngăn ngừa vi khuẩn, hỗ trợ giảm đau nhức răng, giảm viêm lợi do sâu răng, viêm nướu, tụt lợi, chảy máu chân răng…
Khác với nước súc miệng thông thường, nước ngậm răng miệng yêu cầu thời gian ngậm dung dịch trong miệng lâu hơn, thường là 5-10 phút. Trong thời gian này, thỉnh thoảng súc nhẹ để dung dịch len lỏi sâu vào các kẽ răng, góc hàm, giúp hỗ trợ làm sạch tốt hơn. Sau khi nhổ bỏ dung dịch, sẽ thấy chút gợn, cặn – đó là mảng bám ở niêm mạc miệng, răng lợi được làm sạch.
Người đang bị đau răng khôn có thể tham khảo sử dụng nước ngậm răng miệng thảo dược để hỗ trợ làm sạch răng miệng, giúp giảm đau răng
viêm lợi.
DS. Phan Hiền
Theo Giáo dục & Cuộc sống/Giáo dục & Thời đại
Link báo gốc: https://cuocsong.giaoducthoidai.vn/ban-co-biet-dau-rang-khon-uong-thuoc-gi-an-mon-gi-n2403.html
.png)
NƯỚC NGẬM RĂNG MIỆNG NHẤT NHẤT
Thành phần:
Huyền sâm, Cam thảo nam, Lá lấu, Xuyên tiêu, Natri benzoate, Nước tinh khiết vừa đủ.
Công dụng:
- Hỗ trợ làm giảm nhanh đau nhức răng, hỗ trợ ngăn ngừa và làm giảm viêm lợi do sâu răng, viêm chân răng, viêm nướu tụt lợi, chảy máu chân răng, răng lung lay.
- Hỗ trợ làm giảm sự nhạy cảm của răng, ê buốt với môi trường nóng, lạnh, chua, làm giảm mảng bám, cao răng.
- Hỗ trợ ngăn ngừa, làm giảm viêm loét miệng do nhiệt và giảm nhanh đau rát do viêm loét miệng do nhiệt.
- Bảo vệ sức khỏe răng miệng toàn diện, làm sạch răng miệng, khử mùi hôi, hỗ trợ ngăn ngừa các bệnh viêm nhiễm về đường răng miệng, cho hơi thở thơm tho.
Cách dùng:
Mỗi ngày ngậm 1 – 2 lần sau đánh răng.
*Người lớn: Mỗi lần sử dụng 10ml, ngậm trong miệng khoảng 5 phút, trong thời gian ngậm thi thoảng (5 – 10 giây) súc nhẹ, sau đó súc kỹ, nhổ đi. Không ăn, uống hay súc miệng bằng bất kỳ dùng dịch nào khác trong 10 phút sau khi nhổ. Sau 10 phút súc miệng lại bằng nước cho sạch.
*Trẻ em: Dùng ½ liều người lớn
Mỗi đợt sử dụng hỗ trợ điều trị từ 5 – 7 ngày. Có thể dùng nhiều đợt hoặc thường xuyên.
Nhà sản xuất: CÔNG TY TNHH DƯỢC PHẨM NHẤT NHẤT
Địa chỉ: Cụm công nghiệp Liên Hưng, ấp Bình Tiền 2, xã Đức Hòa Hạ, huyện Đức Hòa, tỉnh Long An.
Điện thoại: 1800.6689 (Trong giờ hành chính). Fax: (0272) 3.817.337
|