Công ty TNHH Nhất Nhất

Các phương pháp đơn giản giúp loại bỏ mảng bám răng

2020/12/23 08:21
Mảng bám răng tích tụ không chỉ làm ổ cho vi khuẩn gây sâu răng mà còn là nguyên nhân gây viêm lợi, tụt lợi. Để loại bỏ mảng bám răng, có rất nhiều cách dễ thực hiện.
 
cách đánh bay mảng bám răng
Mảng bám răng cần được loại bỏ sạch sẽ

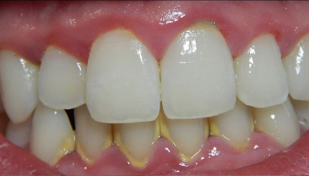
Mảng bám trên răng là gì?

Mảng bám răng hay bựa răng là một lớp màng sinh học không màu hoặc hơi ngà tạo thành trên bề mặt răng do vi khuẩn, nước bọt và thức ăn thừa tạo thành. Loại bỏ mảng bám răng là việc cần thiết, cần thực hành thường xuyên, nếu không có thể gây ra những vấn đề nghiêm trọng như sâu răng, viêm nướu hay nhiệt miệng (lở miệng). Theo thời gian, mảng bám răng có thể vôi hóa dọc theo lợi, tạo thành cao răng. 

>> Xem thêm Thuốc Đông y thế hệ 2 điều trị hiệu quả sưng đau răng lợi
 
cách đánh bay mảng bám răng
Mảng bám răng có màu vàng hơi ngà

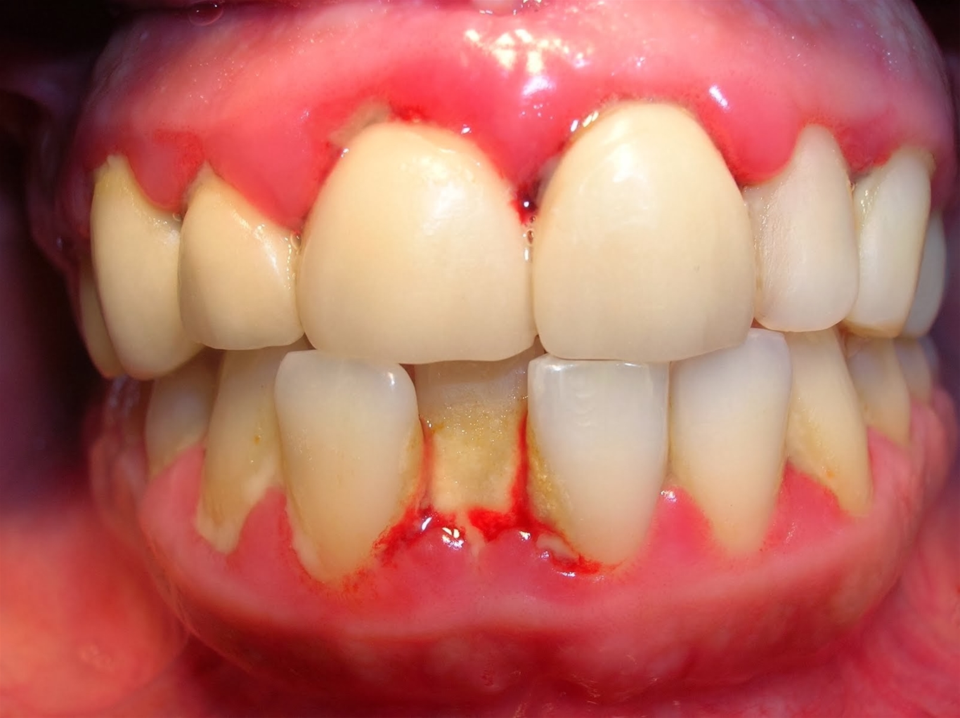
Tác hại của mảng bám răng

Khi mảng bám trên răng không được loại bỏ, lâu ngày tạo thành cao răng sẽ dẫn đến nhiều tác hại nguy hiểm đến răng miệng như:
  • Hình thành bệnh sâu răng, viêm tủy răng, áp xe chân răng
  • Viêm lợi, viêm nha chu và nếu không được điều trị kịp thời sẽ gây ra tình trạng mất răng hàng loạt
  • Làm mất đi tính thẩm mỹ 
  • Hôi miệng
  • Gây một số bệnh lý khác ngoài răng miệng như: tim mạch, huyết áp, hô hấp, mẹ bầu có thể sinh non…
cách đánh bay mảng bám răng
Mảng bám trên răng có thể dẫn đến viêm nha chu

Cách đánh bay mảng bám răng

Loại bỏ mảng bám răng không hề phức tạp. Chỉ với những cách hết sức đơn giản, bạn có thể loại bỏ mảng bám răng một cách tự nhiên để giữ cho răng miệng khỏe mạnh, hơi thở thơm tho.

1. Đánh răng hàng ngày đúng cách

Đánh răng 2 lần một ngày, mỗi lần 2 phút. Đây là việc cần làm để loại bỏ mảng bám răng khi vừa hình thành để không biến thành cao răng cứng. Sử dụng bàn chải điện sẽ giúp loại bỏ nhiều mảng bám hơn so với bàn chải đánh răng thông thường.

2. Thay bàn chải đánh răng 3 tháng một lần

Các sợi lông trên bàn chải đánh răng sẽ bị mòn theo thời gian. Thêm vào đó, vi khuẩn có thể tích tụ trên bàn chải đánh răng khiến việc vệ sinh răng miệng không hiệu quả. Hãy thay bàn chải đánh răng vài tháng một lần hoặc bất cứ lúc nào bạn nhận thấy lông bàn chải bắt đầu mòn hoặc hư hỏng. Nên chọn bàn chải lông mềm để tránh làm tổn thương nướu hoặc men răng.

>> Xem thêm Mẹo chữa đau răng sưng lợi nhanh và ít tốn kém

3. Sử dụng kem đánh răng có chứa fluor

Có nhiều loại kem đánh răng khác nhau, và một số loại có tác dụng loại bỏ mảng bám răng và cao răng tốt hơn những loại khác. Kem đánh răng có chứa fluor giúp tăng cường men răng, giảm nguy cơ sâu răng và các vấn đề về răng khác, bao gồm cả mảng bám. 

4. Dùng chỉ nha khoa mỗi ngày

Giữ một mẩu chỉ nha khoa giữa các ngón tay và luồn vào giữa 2 kẽ răng. Lắc nhẹ chỉ nha khoa một chút cho đến khi bạn chạm đến đường viền nướu, sau đó kéo chỉ nha khoa ra. Làm điều này với tất cả các khoảng trống giữa các răng sau khi ăn để loại bỏ thức ăn thừa và mảng bám ở kẽ răng.
 
 
cách đánh bay mảng bám răng
Sử dụng chỉ nha khoa để loại bỏ mảng bám răng

5. Sử dụng nước súc miệng mỗi ngày

Nước súc miệng có chứa fluor giúp loại bỏ mảng bám hoặc vi khuẩn mà bạn có thể đã bỏ sót trong quá trình đánh răng hoặc dùng chỉ nha khoa. Súc miệng trong vòng 30 giây sau khi đánh răng, sau đó nhổ đi.

6. Sử dụng nước ngậm răng miệng

Sử dụng nước súc miệng không đủ để làm sạch răng và hỗ trợ điều trị các vấn đề về răng miệng. Giải pháp mà các chuyên gia đã tìm ra là: nước ngậm răng miệng. Thời gian ngậm dung dịch trong miệng khoảng 5-10 phút, sau đó súc nhẹ rồi nhổ bỏ. Các hoạt chất có trong nước ngậm răng miệng không chỉ len lỏi để làm sạch các kẽ răng mà còn giúp hỗ trợ loại bỏ mảng bám răng hiệu quả hơn. 
 
Hiện nay nước ngậm răng miệng đã có mặt tại các nhà thuốc trên toàn quốc, bạn có thể dễ dàng mua về sử dụng. 
DS Phan Hiền 
Theo Đời sống Plus/GĐVN
Link báo gốc: http://doisongplus.vn/cac-phuong-phap-don-gian-giup-loai-bo-mang-bam-rang-116355-9.html
cách đánh bay mảng bám răng

NƯỚC NGẬM RĂNG MIỆNG NHẤT NHẤT

cách đánh bay mảng bám răng
 
Thành phần:
Huyền sâm, Cam thảo nam, Lá lấu, Xuyên tiêu, Natri benzoate, Nước tinh khiết vừa đủ.
Công dụng:
- Hỗ trợ làm giảm nhanh đau nhức răng, hỗ trợ ngăn ngừa và làm giảm viêm lợi do sâu răng, viêm chân răng, viêm nướu tụt lợi, chảy máu chân răng, răng lung lay.
- Hỗ trợ làm giảm sự nhạy cảm của răng, ê buốt với môi trường nóng, lạnh, chua, làm giảm mảng bám, cao răng.
- Hỗ trợ ngăn ngừa, làm giảm viêm loét miệng do nhiệt và giảm nhanh đau rát do viêm loét miệng do nhiệt.
- Bảo vệ sức khỏe răng miệng toàn diện, làm sạch răng miệng, khử mùi hôi, hỗ trợ ngăn ngừa các bệnh viêm nhiễm về đường răng miệng, cho hơi thở thơm tho.
Cách dùng:
Mỗi ngày ngậm 1 – 2 lần sau đánh răng.
*Người lớn: Mỗi lần sử dụng 10ml, ngậm trong miệng khoảng 5 phút, trong thời gian ngậm thi thoảng (5 – 10 giây) súc nhẹ, sau đó súc kỹ, nhổ đi. Không ăn, uống hay súc miệng bằng bất kỳ dùng dịch nào khác trong 10 phút sau khi nhổ. Sau 10 phút súc miệng lại bằng nước cho sạch.
*Trẻ em: Dùng ½ liều người lớn
Mỗi đợt sử dụng hỗ trợ điều trị từ 5 – 7 ngày. Có thể dùng nhiều đợt hoặ thường xuyên.
Chú ý: Khi nhổ dung dịch Răng Miệng Nhất Nhất đi có thể thấy chút gợn, cặn. Đó là chất nhầy bám vào răng, niêm mạc miệng, lợi được tẩy sạch. Trong quá trình ngậm, nếu nuốt phải một chút cũng không độc hại gì.
Quy cách đóng gói: Hộp 1 lọ 120ml.
Điều kiện bảo quản: Nơi khô, dưới 30°C
Hạn dùng: 36 tháng kể từ ngày sản xuất.
Tiêu chuẩn chất lượng: TCCS.
Nhà sản xuất: CÔNG TY TNHH DƯỢC PHẨM NHẤT NHẤT
Địa chỉ: Cụm công nghiệp Liên Hưng, ấp Bình Tiền 2, xã Đức Hòa Hạ, huyện Đức Hòa, tỉnh Long An.
Điện thoại: 1800.6689 (Trong giờ hành chính).  Fax: (0272) 3.817.337
 

Sản phẩm

Hoạt Huyết Nhất Nhất

Điều trị thiểu năng tuần hoàn não, đau bụng kinh do huyết ứ

Dung dịch Xịt Họng Nhất Nhất

Tác dụng tại chỗ, làm dịu niêm mạc họng, hỗ trợ làm giảm các tình trạng ho, ngứa họng, đau rát họng, khản tiếng do ảnh hưởng của viêm họng, viêm amidan, viêm thanh quản.

TPBVSK Bột men vi sinh MENBIO

Men vi sinh MENBIO bổ sung lợi khuẩn đường ruột, hỗ trợ giảm rối loạn tiêu hóa, giúp giảm các triệu chứng: tiêu chảy, chướng bụng đầy hơi do loạn khuẩn đường ruột.

Dung dịch vệ sinh mũi Zenko trẻ em

Zenko trẻ em giúp hỗ trợ làm sạch niêm mạc mũi, tác nhân gây bệnh... Hỗ trợ phòng ngừa và làm giảm nhẹ nghẹt mũi, sổ mũi, giúp mũi thông thoáng, dễ thở hơn.

Giải Độc Gan
Nhất Nhất

Viêm gan, hỗ trợ điều trị viêm gan B cấp và mãn tính; Bảo vệ và tái tạo gan, giải độc gan, chống dị ứng

QUE THỬ THAI
QUICK 3

Que thử thai được dùng cho việc hỗ trợ chẩn đoán thai ngoài tử cung và mang thai sớm.

TPBVSK Siro cảm
Nhất Nhất

Siro Cảm Nhất Nhất Thảo dược giải cảm, an toàn cho bé

Giải Cảm Nhất Nhất

Thuốc Giải cảm Nhất Nhất Thảo dược trị cảm, hết hắt hơi, sổ mũi, đau nhức cơ thể
Công ty TNHH Nhất Nhất
  • Trụ sở chính: 272 Lê Trọng Tấn, Phường Phương Liệt, Hà Nội
  • Tel: 024.35 62 5766 - Hotline: 18006689
  • Email: lienhe@nhatnhatgroup.com
  • Chi nhánh Hồ Chí Minh: 194/3 Trần Huy Liệu, Phường Cầu Kiệu, Thành phố Hồ Chí Minh
Giấy phép số: 23/GP-STTTT ngày 28/02/2025 của Sở thông tin và truyền thông, UBND TP Hà Nội
 
Giấy phép đăng ký kinh doanh số ‎0101983927 cấp ngày 27/06/2006
 
Người chịu trách nhiệm nội dung: Lê Đức Lộc
 
© 2018. Bản quyền thuộc về Nhatnhat.com.
hotline chat zalo chat message