Sâu răng là tình trạng nhiều người gặp phải dù ở bất kỳ độ tuổi nào. Hệ quả chính là các cơn đau răng sâu vô cùng khó chịu, ảnh hưởng tới ăn uống. Bạn có biết bị đau răng sâu nên làm gì?
Đau răng sâu khiến nhiều người khó ăn trong ăn uống
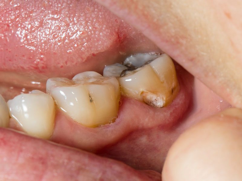
Đau răng sâu là gì?
Sâu răng là những tổn thương vĩnh viễn trên bề mặt cứng của mỗi răng, có thể phát triển thành những khe hở hoặc lỗ nhỏ li ti. Sâu răng có thể xuất phát từ nhiều yếu tố như do vi khuẩn phát triển trong miệng, ăn vặt thường xuyên, ăn nhiều đồ ăn có đường và không vệ sinh răng miệng kỹ.
Sâu răng nếu không được điều trị ngay khi mới bắt đầu có thể sẽ phát triện sâu và rộng hơn trên răng. Hệ quả chính là các cơn đau răng sâu từ nhẹ, âm ỉ cho đến dữ dội. Khi sâu răng ăn mòn men răng, bạn sẽ thấy răng trở nên nhạy cảm hơn khi đánh răng hoặc khi ăn uống đồ nóng lạnh.
Nhận biết tình trạng sâu răng qua các cơn đau
Đau răng sâu có thể từ cảm giác ê buốt tới đau nhói dữ dội
Bạn có thể bị từ
sâu răng nhẹ tới trung bình nếu có xuất hiện đồng thời các triệu chứng sau:
-
Ê buốt răng, có cảm giác như đau nhói
-
Các cơn đau răng có thể biến mất khi dùng thuốc giảm đau
-
Răng nhạy cảm ở một bên miệng, đặc biệt khi nhai đồ ăn cứng
-
Răng bị đổi màu, xuất hiện các đốm vàng, trắng hoặc nâu
Khi xuất hiện một lỗ sâu răng phát triển lớn hoặc bị áp xe răng, thì cơn đau răng sẽ đi kèm:
-
Cơn đau dữ dội có thể chỉ ảnh hưởng tới một chiếc răng
-
Đau răng kéo dài liên tục
-
Cơn đau nhói cho tới đau dữ dội
-
Sưng lợi hoặc mặt
-
Đau lan sang hàm, vùng tai bên cạnh hoặc nướu răng
-
Đau răng gây ảnh hưởng tới giấc ngủ hoặc các hoạt động hàng ngày
Đau răng sâu nên làm gì?
Thực hiện một số biện pháp giảm đau tức thời
Khi xuất hiện một số cơn đau răng sâu thì có thể thực hiện một số biện pháp giảm đau tạm thời bằng cách:
-
Bôi gel làm tê: Một số loại gel không kê đơn có tác dụng làm tê có thể giúp làm dịu cơn đau răng nhanh chóng.
-
Súc miệng bằng nước muối ấm: Nước muối có khả năng tiêu diệt vi khuẩn và có thể tạm thời làm dịu cơn đau.
-
Sử dụng thuốc giảm đau: Một số loại thuốc giảm đau như ibuprofen và acetaminophen có thể giúp giảm đau nhanh chóng.
-
Chườm ấm hoặc chườm lạnh: Hãy thử chườm túi lạnh hoặc chườm ấm ở bên ngoài miệng phần răng bị sâu sẽ giúp giảm đau răng tức thời.
-
Chăm sóc răng miệng tốt: Đánh răng mỗi ngày hai lần và dùng chỉ nha khoa sau khi ăn sẽ giúp loại bỏ các mảng bám thừa trong miệng. Tuy việc này không chữa trị được sâu răng nhưng phần nào sẽ giúp giảm tốc độ vi khuẩn phát triển ở trong khoang miệng và phần nào ngăn cơn đau trở nên tồi tệ hơn.
Các biện pháp chữa đau răng sâu
Sâu răng có thể cần tới bác sĩ khám để điều trị triệt để
Sâu răng nếu gây ra cơn đau dữ dội thì bạn nên đến gặp nha sĩ để tìm hiểu nguyên nhân và điều trị kịp thời.
Tùy thuộc vào mức độ nghiêm trọng của sâu răng và vị trí của chúng trong miệng mà bác sĩ sẽ lựa chọn một số phương pháp điều trị sau:
-
Hàn răng: Nha sĩ sẽ loại bỏ phần răng bị sâu sau đó sẽ trám lại hoàn toàn bằng vật liệu chuyên dụng để loại bỏ vi khuẩn trên răng.
-
Diệt tủy răng: Loại bỏ ống tủy bên trong răng có thể giúp giảm đau răng sâu hiệu quả. Thủ thuật này về cơ bản sẽ giúp loại bỏ hết các dây thần kinh và mạch máu bên trong răng. Sau đó, nha sĩ sẽ trám bít bên trong răng bằng vật liệu trám.
-
Sử dụng chụp răng: Bác sĩ sẽ loại bỏ lớp bên ngoài của răng, loại bỏ phần răng sâu sau đó sử dụng chụp răng sứ để bao phủ toàn bộ răng.
-
Dùng thuốc kháng sinh: Nhiễm trùng răng miệng nghiêm trọng có thể cần dùng thuốc kháng sinh. Những người có hệ miễn dịch suy yếu, người có tiền sử cấy ghép nội tạng và người đang hóa trị cũng có thể cần dùng kháng sinh.
-
Nhổ răng: Đôi khi răng sâu quá nghiêm trọng thì nhổ răng là cách duy nhất được lựa chọn để điều trị răng, nướu và xương xung quanh răng nếu bị tổn thương quá nhiều.
Đau răng sâu uống thuốc gì?
Có thể sử dụng thuốc để giảm đau khi bị sâu răng
Đau răng sâu tốt nhất nên đi tới nha sĩ khám và điều trị sớm tại phòng khám. Tuy nhiên, nếu chưa có điều kiện đi khám sớm thì bạn có thể tham khảo một số loại thuốc giảm đau kháng viêm có thể sử dụng khi bị đau răng sau:
Ibuprofen
Ibuprofen là một trong những loại giảm đau không kê đơn được kê để giúp giảm đau răng. Một số loại thuốc chứa thành phần này bao gồm:
-
Thuốc Hagifen 400Mg
-
Thuốc Piantawic
-
Ibumed 400Mg
-
Sotstop 100Ml
-
Ibuprofen 200 Nadyphar
Đây là các loại thuốc dạng viên nén, viên nang hoặc siro. Ibuprofen là một loại thuốc chống viêm không steroid có tác dụng với chứng đau răng vì có khả năng giảm đau và giảm viêm. Đọc kỹ hướng dẫn sử dụng trước khi dùng
>> Xem thêm Các loại bệnh răng miệng thường gặp và cách phòng tránh
Naproxen
Thuốc Aleve có chứa Naproxen giúp giảm đau kháng viêm
Naproxen là một thành phần giúp giảm đau kháng viêm không steroid khác được sử dụng để chữa đau răng. Chúng được điều chế dưới dạng viên nén, viên nang, gel lỏng.
Một số loại thuốc có naproxen gồm:
Nhiều nghiên cứu cho thấy sử dụng thuốc chữa naproxen có hiệu quả khi đau răng sau khi phẫu thuật. Dù naproxen cùng nhóm thuốc với ibuprofen nhưng một số loại sẽ có hiệu quả hơn với bạn trong việc giảm đau.
Acetaminophen
Acetaminophen là một chất khá phổ biến giúp giảm đau răng. Tuy nhiên, thành phần này không có khả năng giảm viêm như một số loại thuốc giảm đau không steroid khác nên có thể không đem lại hiệu quả cao như các loại trên.
Actaminophen có thể mua sẵn ở hiệu thuốc với một số thương hiệu:
-
Efferagal
-
Hapacol
-
Panadol Extra
Sử dụng thuốc giảm đau chứa acetaminophen cần chú ý uống đúng liều lượng như hướng dẫn sử dụng để tránh gây quá liều, có nhiều tác dụng phụ tới cơ thể.
Xịt Răng Miệng Nhất Nhất - Từ thảo dược tự nhiên giúp giảm đau răng sâu hiệu quả
Xịt Răng miệng thảo dược là giải pháp mới dành cho người bị sâu răng gây đau nhức giúp hỗ trợ giảm đau tiêu viêm hiệu quả. Tiêu biểu như dung dịch Xịt Răng Miệng Nhất Nhất.
Sản phẩm được chiết xuất từ các thảo dược tự nhiên an toàn và có thể dùng được cho cả người lớn và trẻ em trên 2 tuổi. Người bệnh nên xịt Răng Miệng Nhất Nhất mỗi ngày ít nhất 8 lần, mỗi lần cách nhau 2 – 3 giờ, xịt 1 – 2 nhịp. Nên giữ lại vài giây và sau đó nuốt vào và không ăn uống trong vòng 20 phút sau khi xịt.
Đào Tâm
Theo Giáo dục & Cuộc sống/ Giáo dục & Thời đại
Link báo gốc: https://cuocsong.giaoducthoidai.vn/dau-rang-sau-nen-lam-gi-de-giup-chua-tri-tan-goc-n9022.html
.png)
XỊT RĂNG MIỆNG NHẤT NHẤT
Giúp giảm nhanh:
● Viêm nướu, tụt lợi, chảy máu chân răng
● Đau rát, viêm loét miệng
Thành phần:
Kim ngân hoa; Lá trầu không; Hoa đu đủ đực; Lá đào; Natri benzoat, Tinh dầu bạc hà, Nước tinh khiết vừa đủ 20ml.
Công dụng:
- Hỗ trợ làm giảm đau nhức răng, hỗ trợ ngăn ngừa và làm giảm viêm lợi do sâu răng, viêm chân răng, viêm nướu, tụt lợi, chảy máu chân răng.
- Hỗ trợ làm giảm sưng tấy, đau rát miệng do viêm loét miệng.
Cách dùng:
Lắc kĩ trước khi dùng.
- Súc miệng bằng nước ấm trước khi xịt.
- Xịt vào tổn thương ngày ít nhất 8 lần, cách nhau 2-3 giờ, mỗi lần xịt 1-2 nhịp. Giữ lại vài giây và sau đó nuốt. Không ăn uống trong vòng 20 phút sau khi xịt.
- Bệnh nặng có thể xịt nhiều lần hơn.
Chú ý: Thận trọng cho phụ nữ có thai, cho con bú và trẻ em dưới 2 tuổi.
Quy cách đóng gói: Hộp 1 chai x 20ml.
Bảo quản: Nơi khô, dưới 30°C, tránh ánh sáng mặt trời.
Tiêu chuẩn: Tiêu chuẩn cơ sở
Hạn dùng: 36 tháng kể từ ngày sản xuất
Sản xuất tại:
CÔNG TY TNHH DƯỢC PHẨM NHẤT NHẤT
Địa chỉ: Cụm công nghiệp Liên Hưng, ấp Bình Tiền 2, xã Đức Hòa Hạ, huyện Đức Hòa, tỉnh Long An
Điện thoại: 1800.6689 (Giờ hành chính); Fax: (0272).3817337
|