Viêm lợi viêm chân răng gây đau đớn và vô cùng khó chịu. Không cần dùng thuốc, có thể áp dụng một số biện pháp đơn giản giúp xử lý tình trạng này nhanh chóng.
Viêm lợi viêm chân răng gây đau đớn cho người bệnh
Theo các chuyên gia, hơn 80% dân số Việt Nam gặp phải hiện tượng viêm lợi viêm chân răng. Thói quen ăn đồ ăn nhanh, vệ sinh răng miệng kém cũng như không chú trọng tới các thành phần có trong sản phẩm chăm sóc răng miệng càng khiến các bệnh lý răng miệng ngày càng leo thang, trong đó có tình trạng viêm lợi.
Viêm lợi chân răng là gì?
Lợi răng (hay còn là nướu) là tổ hợp các mô mềm xung quanh răng, có nhiệm vụ che chắn, bảo vệ và nâng đỡ chân răng. Ở người có sức khỏe bình thường thì lợi săn chắc và có màu hồng nhạt.
Viêm lợi là một chứng viêm phát sinh ở tổ chức lợi chân răng. Biểu hiện là lợi răng sưng đỏ, mép lợi tròn tù, tổ chức chân răng lỏng, dễ chảy máu, kèm hôi miệng, người bệnh có cảm giác đau hoặc ngứa, lợi răng. Viêm lợi lâu ngày có thể khiến cho lợi phì đại, tăng sinh gọi là viêm lợi dạng phì đại. Nếu không được điều trị có thể dẫn tới các bệnh nặng hơn về răng miệng và có thể sẽ mất răng.
>> Xem thêm Mách mẹ cách trị viêm lợi có mủ ở trẻ em cực kỳ hiệu quả
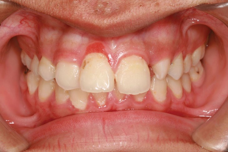
Tình trạng viêm lợi viêm chân răng rất dễ nhận biết
Nguyên nhân gây viêm lợi viêm chân răng
Nguyên nhân thường gặp nhất của viêm lợi viêm chân răng là vệ sinh răng miệng kém, dẫn tới các mảng bám hình thành. Mảng bám răng là một màng sinh học của vi sinh vật (chủ yếu là vi khuẩn, nhưng cũng có thể là nấm) phát triển trên các bề mặt trong miệng. Mảng bám răng cần loại bỏ hàng ngày bởi vì nó lại hình thành nhanh chóng, thường trong vòng 24 giờ.
Các mảng bám lâu ngày sẽ tích tụ thành cao răng trên răng, càng kích thích lợi. Theo thời gian, nướu răng trở nên sưng và chảy máu một cách dễ dàng.
Ngoài ra, còn có các nguyên nhân khác gây viêm lợi viêm chân răng bao gồm:
-
Do thói quen hút thuốc lá
-
Thay đổi nội tiết tố trong cơ thể như phụ nữ trong thời kỳ mang thai hay sau mãn kinh…
-
Do hệ miễn dịch bị suy yếu ở người mắc bệnh đái tháo đường, bệnh HIV/AIDS, bệnh ung thư…
-
Do tác dụng phụ của một số loại thuốc kháng histamin, thuốc chống trầm cảm… làm giảm tiết nước bọt (có vai trò làm sạch vi khuẩn), nên tạo điều kiện cho sự phát triển của vi khuẩn.
Mảng bám là nguyên nhân thường gặp nhất gây viêm lợi viêm chân răng
Các mức độ viêm lợi chân răng
Thông thường, bệnh viêm lợi viêm chân răng có 2 giai đoạn là viêm cục bộ và viêm cận răng.
1. Viêm lợi răng cục bộ
Ở giai đoạn này, lợi bắt đầu phồng lên, chuyển sang màu đỏ và có thể chảy máu khi có sự tác động, nhất là khi đánh răng. Đây là giai đoạn bệnh chưa gây ảnh hưởng nhiều đến tổ chức răng, người bệnh cũng chưa có cảm giác đau đớn nhiều. Khi đó, bệnh rất dễ điều trị nhưng có nguy cơ tái phát cao.
2. Viêm cận răng
Viêm lợi cục bộ không được chữa trị và chăm sóc đúng cách sẽ tạo thành các lỗ hổng quanh răng do lớp lợi trong cùng và xương hàm bị đẩy ra sau. Những lỗ hổng đó trở thành nơi khu trú của các mảng thức ăn thừa, tạo điều kiện thuận lợi cho vi khuẩn tập kết.
Lúc này, lợi sẽ bị sưng tấy, có màu đỏ tươi, thậm chí là chảy máu, gây đau nhức, hơi thở có mùi hôi. Nếu để kéo dài sẽ dẫn đến tình trạng tụt lợi, khiến răng và xương hàm bị phá hủy nặng nề. Khi răng không còn chỗ bám sẽ trở nên lỏng lẻo và dễ bị rụng.
Lợi chảy máu, răng lung lay báo hiệu giai đoạn viêm cận răng
Điều trị viêm lợi viêm chân răng không cần dùng thuốc
Viêm lợi viêm chân răng khi mới mắc phải thường khá dễ điều trị, người bệnh chỉ cần chú ý vệ sinh răng miệng sạch sẽ hàng ngày và áp dụng các biện pháp dân gian không cần sử dụng thuốc Tây. Một số biện pháp được nhiều người áp dụng bao gồm:
1. Dùng nước muối
Muối là một chất khử trùng tự nhiên và hiệu quả. Súc miệng bằng nước muối 2 – 3 lần mỗi ngày sẽ mang lại nhiều lợi ích:
-
Loại bỏ thức ăn thừa còn sót lại trong kẽ răng, chân răng
-
Giảm đau, sát khuẩn chỗ viêm
-
Cải thiện tình trạng hơi thở có mùi, hôi miệng
Tuy nhiên, muối cũng có thể làm ảnh hưởng men răng nên không được ngậm quá lâu khi súc miệng.
2. Sử dụng đinh hương
Đinh hương có chứa Eugenol – một loại hợp chất gây tê tự nhiên. Không những thế, đinh hương còn được khuyên dùng nhờ đặc tính kháng virus và chống oxy hóa.
Có thể dùng bông thấm một ít tinh dầu đinh hương, chấm nhẹ vào vị trí lợi viêm sẽ vừa giảm đau, vừa giảm viêm lợi.
Bên cạnh đó, đinh hương còn giúp ngăn ngừa sự hình thành các mảng bám và giảm hôi miệng.
3. Sử dụng tinh dầu sả
Pha loãng tinh dầu sả vào nước, súc miệng 2 – 3 lần mỗi ngày sẽ giúp giảm mảng bám và điều trị viêm lợi hiệu quả. Tinh dầu sả có tính sát khuẩn cực mạnh nên cần phải pha loãng 2 – 3 giọt tinh dầu với khoảng 100ml nước. Việc này giúp đảm bảo an toàn và lợi sẽ không bị kích ứng.
4. Súc miệng bằng nước lá ổi
Đã từ rất lâu, người Việt hay dùng lá ổi để chữa viêm lợi và hôi miệng. Do lá ổi có tính kháng khuẩn, giảm đau, giảm viêm lợi và trị viêm lợi khá tốt.
Nếu thấy lợi bị tấy đỏ, người bệnh có thể đun lá ổi để lấy nước súc miệng mỗi ngày 2 – 3 lần.
5. Giải pháp mới: Dung dịch thảo dược Xịt Răng Miệng Nhất Nhất
Các biện pháp theo dân gian có ưu điểm là đơn giản, dễ làm tuy nhiên có nhược điểm là khá lích kích, tỉ mỉ, cần phải thực hiện liên tục nên gây khó khăn cho nhiều người.
Xu thế mới hiện nay là sử dụng dung dịch xịt răng miệng thảo dược, tiện mang theo bên mình với hiệu quả nhanh chóng. Tiêu biểu trong số đó là Dung dịch thảo dược Xịt Răng Miệng Nhất Nhất.
Xịt Răng Miệng Nhất Nhất là dung dịch được bào chế từ dược liệu cô đặc, với vòi xịt dài có thể đưa dung dịch vào đúng nơi cần tác dụng. Nhờ vậy sẽ giúp hỗ trợ làm giảm đau nhức răng, hỗ trợ ngăn ngừa và làm giảm viêm lợi viêm chân răng, viêm nướu, tụt lợi, chảy máu chân răng hiệu quả.
Sản phẩm có bán tại các nhà thuốc trên toàn quốc.
DS. Hải Nguyên
Theo Giáo dục & Cuộc sống/ Giáo dục & Thời đại
.png)
XỊT RĂNG MIỆNG NHẤT NHẤT
Giúp giảm nhanh:
• Viêm nướu, tụt lợi, chảy máu chân răng
• Đau rát, viêm loét miệng
Thành phần:
Kim ngân hoa; Lá trầu không; Hoa đu đủ đực; Lá đào; Natri benzoat, Tinh dầu bạc hà, Nước tinh khiết vừa đủ 20ml.
Công dụng:
- Hỗ trợ làm giảm đau nhức răng, hỗ trợ ngăn ngừa và làm giảm viêm lợi do sâu răng, viêm chân răng, viêm nướu, tụt lợi, chảy máu chân răng.
- Hỗ trợ làm giảm sưng tấy, đau rát miệng do viêm loét miệng.
Cách dùng:
Lắc kĩ trước khi dùng.
- Súc miệng bằng nước ấm trước khi xịt.
- Xịt vào tổn thương ngày ít nhất 8 lần, cách nhau 2-3 giờ, mỗi lần xịt 1-2 nhịp. Giữ lại vài giây và sau đó nuốt. Không ăn uống trong vòng 20 phút sau khi xịt.
- Bệnh nặng có thể xịt nhiều lần hơn.
Chú ý: Thận trọng cho phụ nữ có thai, cho con bú và trẻ em dưới 2 tuổi.
Quy cách đóng gói:
Hộp 1 chai x 20ml.
Bảo quản:
Nơi khô, dưới 30°C, tránh ánh sáng mặt trời.
Tiêu chuẩn: Tiêu chuẩn cơ sở
Hạn dùng: 36 tháng kể từ ngày sản xuất
Sản xuất tại: CÔNG TY TNHH DƯỢC PHẨM NHẤT NHẤT
Địa chỉ: Cụm công nghiệp Liên Hưng, ấp Bình Tiền 2, xã Đức Hòa Hạ, huyện Đức Hòa, tỉnh Long An
Điện thoại: 1800.6689 Fax: (0272).3817337
|