Chảy máu chân răng tuy ít đau đớn nhưng là dấu hiệu cảnh báo sức khỏe răng miệng đang có vấn đề. Nếu không điều trị kịp thời để tình trạng viêm, sưng chảy máu kéo có thể dẫn đến nhiều biến chứng nghiêm trọng như răng lung lay, rụng răng.
Nguyên nhân chảy máu chân răng
Nướu răng khỏe mạnh thường có màu hồng nhạt và săn chắc, không dễ bị chảy máu. Đa số người bệnh khi bị chảy máu chân răng sẽ thường nghĩ là mình thiếu vitamin C và tự ý bổ sung ngay. Tuy nhiên, thiếu vitamin C chỉ là một trong số các nguyên nhân gây chảy máu chân răng. Nếu muốn điều trị triệt để thì bạn cần phải tìm đúng nguyên nhân. Các nguyên nhân gây chảy máu chân răng có thể kể đến như sau:
-
Do vệ sinh răng miệng không đúng cách
Đánh răng không đủ lâu, không làm sạch thức ăn, hoặc bỏ qua đánh răng vào buổi tối có thể gây tích tụ mảng bám và vi khuẩn dẫn tới viêm lợi và chảy máu chân răng. Chải răng không đúng cách, chải răng quá mạnh hoặc sử dụng bàn chải đánh răng lông cứng dễ gây tổn thương đến lợi và dẫn đến chảy máu chân răng có thể gây xước lợi.
-
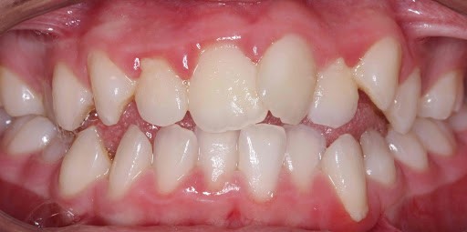
Do răng mọc lệch
Tình trạng răng khấp khểnh, răng mọc lệch, không đúng vị trí, khớp cắn sai lệch cũng khiến việc vệ sinh răng miệng khó khăn hơn, thức ăn và mảng bám dễ tích tụ gây ra viêm lợi và chảy máu chân răng.
Răng khấp khểnh khiến vệ sinh răng miệng khó khăn có thể gây chảy máu chân răng
-
Do viêm nướu
Chảy máu chân răng là dấu hiệu đầu tiên của bệnh nướu răng. Mảng bám trên răng của bạn tại đường viền nướu không được chải hoặc dùng chỉ nha khoa lấy đi hết, dẫn đến những vi khuẩn tồn đọng có thể lây nhiễm vào nướu. Điều này có thể dẫn đến các triệu chứng viêm nướu. Vi khuẩn mảng bám tồn tại càng lâu thì mức độ nghiêm trọng mà chúng có thể gây ra càng lớn gây cho người bệnh cảm giác khó chịu, mất tự tin trong giao tiếp.
=> Xem thêm: Xử lý nhanh nhiệt miệng ở trẻ em
Viêm nướu là nguyên nhân hàng đầu gây chảy máu chân răng
Nướu sẽ bị sưng, đau và đôi khi nướu bị chảy máu trong khi bạn đánh răng hoặc dùng chỉ nha khoa để làm sạch răng.
-
Do dùng thuốc
Theo Hiệp hội Nha khoa Hoa Kỳ sử dụng thuốc làm loãng máu làm giảm khả năng đông máu, do vậy có thể dẫn đến việc bạn bị chảy máu dễ dàng hơn. Một số loại thuốc chữa bệnh khác thì có thể khiến bạn bị khô miệng. Điều này làm ảnh hưởng đến lượng nước bọt tiết ra trong miệng để trung hòa các axit béo, tiêu diệt vi khuẩn trong răng.
-
Do chế độ ăn thiếu dinh dưỡng
Chảy máu chân răng phần lớn bắt nguồn từ việc thiếu hụt vitamin C, vitamin K. Vitamin C thực hiện quá trình thúc đẩy các phản ứng sinh hoá trong cơ thể, tồn tại hai dạng trong tự nhiên có tác dụng xúc tác men và chống oxy hoá. Thiếu vitamin C làm ảnh hưởng đến quá trình tạo sợi collagen, đặc biệt trong các mao mạch, mô liên kết, mô xương. Thiếu vitamin C, người lớn bị viêm lợi, chảy máu chân răng. Vitamin K là loại vitamin cần thiết giúp cho việc đông máu. Thiếu hụt vitamin này khiến tình trạng chảy máu chân răng dễ xảy ra.
Thiếu vitamin C là nguyên nhân phổ biến dẫn đến chảy máu chân răng
-
Do hút thuốc lá quá nhiều
Những người hút thuốc khiến răng có nhiều mảng bám hơn bình thường. Các chất có hại trong thuốc lá cũng làm cho người hút dễ mắc các bệnh về nướu lợi. Thói quen hút thuốc lá nhiều không chỉ là nguyên nhân gây vấn đề miệng có mùi khó chịu mà còn là nguyên nhân hàng đầu gây nên các bệnh lý về răng miệng, trong đó có bệnh viêm nha chu, gây mất răng sớm.
-
Do căng thẳng
Tình trạng căng thẳng kéo dài có thể khiến hệ miễn dịch suy giảm. Sự căng thẳng có thể gây viêm trong mạch máu, làm phá vỡ các mô mềm trong miệng của bạn và ngăn chặn quá trình chữa lành.
-
Do thay đổi nội tiết tố nữ
Thay đổi nội tiết tố nữ cũng có thể gây chảy máu chân răng. Đối với nhiều người, chảy máu chân răng cũng là dấu hiệu nhận biết sớm của thai kỳ. Vì trong giai đoạn này, progesterone được sản sinh nhiều hơn sẽ làm tăng lưu lượng máu tới lợi gây chảy máu chân răng.
Cách khắc phục chảy máu chân răng
Cách khắc phục chảy máu chân răng có thể rất đơn giản từ việc thay đổi một số thói quen xấu trong việc chăm sóc răng miệng hàng ngày. Trong một số trường hợp có bệnh lý nghiêm trọng thì bạn nên đi khám và dùng thuốc theo chỉ định. Một số cách khắc phục chảy máu chân răng đơn giản, dễ áp dụng như sau:
1. Vệ sinh răng miệng đúng cách
Đánh răng 2 lần mỗi ngày trước khi đi ngủ và lúc mới ngủ dậy. Cần lưu ý đánh răng đúng kỹ thuật như đánh dọc theo các chân răng từ trên xuống và từ dưới lên, dùng bàn chải mềm và không đánh răng quá mạnh làm xây xước, tổn thương niêm mạc lợi dẫn đến chảy máu. Có thể sử dụng chỉ nha khoa để làm sạch thức ăn trong các kẽ răng. Sử dụng nước súc miệng để làm sạch và sát khuẩn trong khoang miệng.
2. Bổ sung các chất dinh dưỡng cần thiết
Bạn nên bổ sung các loại vitamin như vitamin C để đẩy nhanh quá trình làm lành vết thương có nhiều trong hoa quả có màu vàng như cam, xoài, đu đủ, cà rốt, cà chua và các loại rau có màu đậm như rau dền, rau muống, cải bẹ xanh. Vitamin K giúp hạn chế gây chảy máu chân răng có nhiều trong chuối hay củ cải.
Ngoài ra, canxi, magie và các chất chống viêm có trong dầu cá cũng đều giúp ích cho sức khỏe răng miệng.
3. Tập thư giãn
Bạn hãy cố gắng duy trì suy nghĩ tích cực, tránh bị căng thẳng để hạn chế bị chảy máu chân răng cũng như nâng cao sức khỏe tổng thể.
4. Bỏ thuốc lá
Bỏ thuốc lá không chỉ phòng tránh những căn bệnh nguy hiểm như ung thư, tim mạch mà còn giúp giảm chảy máu chân răng, hơi thở thơm tho hơn, răng trắng sáng và chắc khỏe hơn hẳn.
5. Sử dụng thuốc điều trị
Sau khi đã áp dụng các cách trên, nếu tình trạng chảy máu vẫn không tiến triển tốt thì bạn nên đi khám để được bác sĩ chẩn đoán và kê thuốc điều trị.
Bạn có thể tham khảo thuốc
Đông y thế hệ 2 với thành phần hoàn toàn từ thảo dược, an toàn lành tính giúp điều trị chảy máu chân răng hiệu quả.
DS Phan Hiền
Theo Đời sống Plus/GĐVN
Link báo gốc: http://doisongplus.vn/loai-bo-ngay-8-nguyen-nhan-gay-chay-mau-chan-rang-98550-9.html
.png)
|
Sản xuất từ thảo dược, tại nhà máy chuẩn GMP-WHO, thuốc KACHITA®
.png)
Điều trị hiệu quả viêm họng, viêm loét miệng lưỡi, miệng môi sưng đau, sưng đau răng lợi, chảy máu chân răng, hôi miệng
Thành phần (cho một viên nén bao phim): 430mg cao khô tương đương: Hoàng liên (Rhizoma Coptidis) 255mg, Cam thảo (Radix Glycyrrhizae) 255mg, Tri mẫu (Rhizoma Anemarrhenae) 255mg, Huyền sâm (Radix Scrophulariae) 255mg, Sinh địa (Radix Rehmanniae Glutinosae) 255mg, Mẫu đơn bì (Cortex Paeoniae Suffruticosae) 255mg, Qua lâu nhân (Semen Trichosanthis) 255mg, Liên kiều (Fructus Forsythiae Suspensae) 255mg, Hoàng bá (Cortex Phellodendri) 645mg, Hoàng cầm (Radix Scutellariae) 645mg, Bạch thược (Radix Paeoniae Lactiflorae) 255mg, Thạch cao (Gypsum fibroscum) 255mg. Tá dược vừa đủ 1 viên.
Tác dụng: Thanh nhiệt, giải độc, chống viêm, tiêu sưng
Chỉ định: Điều trị các trường hợp viêm loét miệng lưỡi (nhiệt miệng), miệng môi sưng đau, đau nhức răng, chảy máu chân răng, sưng lợi, viêm họng, hôi miệng.
Liều dùng - Cách dùng: Uống sau bữa ăn
-
Người lớn: uống 2 viên x 2 lần
-
Trẻ em dưới 12 tuổi: uống 2-3 lần x 1 viên
Chú ý: Với từng bệnh nhân cụ thể, nếu hiệu quả, Kachita phải có tác dụng rõ rệt sau 2-3 ngày sử dụng, nếu không thì nên ngưng dùng để khỏi lãng phí.
Chống chỉ định: Phụ nữ có thai, các trường hợp bệnh thể hàn.
Tác dụng không mong muốn: Chưa có báo cáo
Tương tác với các thuốc khác và các dạng tương tác khác: Chưa có báo cáo.
Trường hợp quên dùng thuốc: Nếu quên không dùng thuốc 1 lần, thì tiếp tục dùng thuốc lần tiếp theo theo đúng liều lượng chỉ dẫn.
Cách xử trí khi sử dụng thuốc quá liều: Khi dùng thuốc quá liều thì các lần dùng tiếp theo sử dụng đúng liều theo chỉ dẫn.
Những điều cần thận trọng khi dùng thuốc:
-
Kiêng cữ ăn uống khi dùng thuốc: Chưa có báo cáo
-
Sử dụng cho phụ nữ có thai hoặc cho con bú: Không sử dụng cho phụ nữ có thai
-
Tác động của thuốc khi lái xe và vận hành máy móc: Thuốc thường không gây ảnh hưởng lên khả năng lái xe và vận hành máy móc.
Đóng gói: Hộp 2 vỉ x 10 viên
Bảo quản: Nơi khô, dưới 30 độ C.
Tiêu chuẩn chất lượng: Đạt TCCS
Hạn sử dụng: 36 tháng kể từ ngày sản xuất, ngày SX ghi trên hộp sản phẩm.
Nhà sản xuất: CÔNG TY TNHH DƯỢC PHẨM NHẤT NHẤT
Địa chỉ: Cụm công nghiệp Liên Hưng, ấp Bình Tiền 2, xã Đức Hòa Hạ, huyện Đức Hòa, tỉnh Long An.
Tổng đài giải đáp thông tin miễn phí: 1800.6689 (giờ hành chính)
Số Giấy xác nhận nội dung quảng cáo: 0335/2017/XNQC/QLD
Chi tiết thông tin sản phẩm: https://nhatnhat.com/thuoc-kachita.html
|