Công ty TNHH Nhất Nhất

Viêm chân răng hàm có mủ gây đau nhức phải làm sao?

2023/03/23 09:01
Viêm chân răng hàm có mủ là hiện tượng nhiều người từng gặp phải gây ra nhiều khó khăn trong ăn uống và sinh hoạt. Phải làm sao khi gặp phải tình trạng này?
 
Viêm chân răng hàm có mủ
Viêm chân răng hàm có mủ gây đau nhức khó chịu vô cùng

Viêm chân răng hàm có mủ là gì?

Cấu tạo bên trong của răng không hoàn toàn đặc và rắn chắc như chúng ta tưởng tượng, chúng được tạo ra bởi 3 lớp:
  • Men răng: Bề mặt cứng bên ngoài cùng của răng. Lớp men răng này rất khỏe và cứng nhưng cũng dễ nứt khi có va chạm.
  • Ngà răng: Lớp bên trong của răng được gọi là ngà răng, là một mô xốp gần giống như bọt biển. Ngà răng mềm hơn và có chứa các đầu nút thần kinh nên khá nhạy cảm. 
  • Tủy răng: Phần nằm sâu trong cùng của răng, cấu tạo bởi các ống tủy, mạch máu để nuôi dưỡng răng khỏe mạnh. Tủy răng cũng chứa nhiều dây thần kinh cảm giác.
Viêm chân răng hàm có mủ
Cấu tạo của răng
 
Chân răng là một phần của răng nhưng không nhìn thấy được, đặc biệt là đối với răng hàm nằm phía sâu bên trong hốc má. Chân răng nằm sâu trong hốc xương gọi là xương ổ răng, che phủ bên ngoài chân răng là nướu răng.
 
Viêm chân răng hàm có mủ là hiện tượng tủy răng hay nướu răng hàm bị vi khuẩn tấn công gây ra áp xe có mủ, sưng đau, đỏ ở quanh chân răng và vùng lợi.

Dấu hiệu nhận biết viêm chân răng hàm có mủ

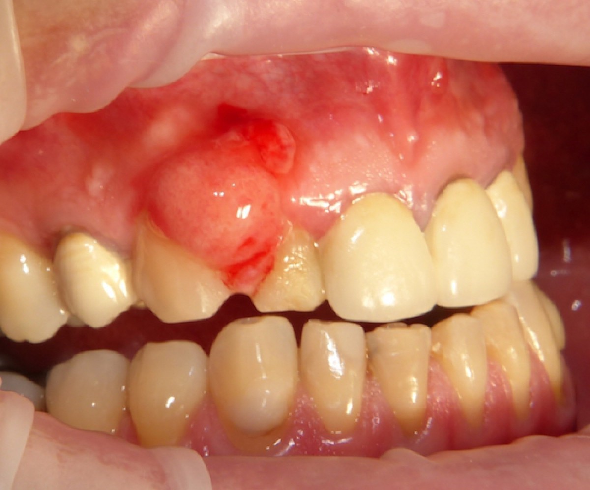
Viêm chân răng hàm có mủ
Hình ảnh áp xe mủ ở chân răng
 
Vì răng hàm nằm sâu bên trong má, chúng ta khó có thể nhìn rõ phần chân răng có bị sưng đỏ hay không, nên có thể nhận biết tình trạng bệnh thông qua một số dấu hiệu:
  • Đau nhức răng: Do chân răng có mủ nên bạn sẽ cảm thấy cơn đau nhức răng lan ra khắp hàm, kéo cả tới tai và cổ. Đau sẽ tăng lên khi bạn ăn và không thể nhai được sang phía răng hàm bị viêm.
  • Lợi sưng đỏ, đau khi ấn vào: Viêm chân răng có thể dễ nhận ra nếu soi thấy vùng lợi không còn chắc và có màu hồng như lợi khỏe mạnh. Lợi sưng to, ấn vào mềm và đau đớn.
  • Sưng mặt, má và cổ: Có thể xuất hiện hạch ở dưới hàm, cổ. Đau hơn khi ấn vào hạch, sốt cao, hôi miệng. 
  • Chảy mủ ở viền lợi: Cảm giác chảy dịch có mùi hôi và vị mặn trong miệng. Đồng thời tình trạng đau răng giảm bớt sau khi áp xe mủ bị vỡ.

Nguyên nhân dẫn tới viêm chân răng hàm

Viêm chân răng hàm có mủ
Viêm chân răng thường là do không vệ sinh răng miệng tốt
 
Tình trạng viêm chân răng hàm dẫn tới áp xe có mủ thường là do vi khuẩn xâm nhập vào vùng tủy răng. Khi vi khuẩn xâm nhập qua khoang răng hoặc qua vết sứt, nứt mẻ trên răng làm lây lan tới tận chân răng.
 
Một số yếu tố rủi ro có thể làm tăng nguy cơ viêm chân răng có mủ:
  • Chăm sóc răng miệng kém: Không thực hiện chăm sóc răng lợi đúng cách – chẳng hạn như không đánh răng mỗi ngày 2 lần, không dùng chỉ nha khoa lấy thức ăn thừa sau khi ăn – có thể làm tăng nguy cơ bị viêm chân răng. Ngoài viêm chân răng bạn cũng có thể bị sâu răng, viêm nướu răng và các biên chứng răng miệng khác.
  • Ăn nhiều đường, đồ ngọt: Thường xuyên ăn các loại thực phẩm nhiều đường, như đồ ngọt và nước ngọt có ga sẽ góp phần gây sâu răng và tạo ra ổ áp xe mủ ở chân răng.
  • Khô miệng: Khô miệng sẽ làm tăng nguy cơ dẫn tới sâu răng. Khô miệng thường là tác dụng phụ khi sử dụng một số loại thuốc hoặc là tình trạng thường gặp ở người cao tuổi.

Biến chứng của viêm chân răng hàm có mủ

Ổ áp xe mủ sẽ không hoàn toàn biến mất nếu như không điều trị kịp thời. Trường hợp viêm chân răng có mủ bị vỡ, cơn đau răng sẽ giảm đi rất nhiều khiến cho bạn nghĩ rằng đã hoàn toàn khỏi bệnh. Nhưng dù vậy, vẫn cần phải đến bác sĩ nha khoa để điều trị.
 
Nếu như áp xe mủ không vỡ ra, khi đó ổ nhiễm trùng từ chân răng hàm có thể lan tới hàm và các vùng khác trên đầu và cổ. Nếu răng nằm gần xoang hàm trên cũng có thể phát triển lỗ hở giữa áp xe răng và xoang. Hệ quả dẫn tới là nhiễm trùng khoang xoang. 
 
Thậm chí áp xe mủ có thể gây ra nhiễm trùng huyết khi không điều trị - một bệnh nhiễm trùng có thể lây lan khắp cơ thể, thậm chí đe dọa tính mạng.

>> Xem thêm Đau nhức răng hàm trong cùng phải làm sao để giảm đau?

Phương pháp phòng ngừa viêm chân răng hàm tại nhà

Để phòng ngừa viêm chân răng có mủ thì điều quan trọng nhất chính là thực hiện nghiêm chỉnh việc chăm sóc răng miệng. Cụ thể:
  • Đánh răng trong 2 phút ít nhất 2 lần mỗi ngày bằng kem đánh răng có chứa fluoride.
  • Sử dụng chỉ nha khoa hoặc tăm nước để làm sạch kẽ răng hàng ngày.
  • Thay bàn chải đánh răng của bạn sau 3 – 4 tháng sử dụng hoặc khi nào lông bàn chải sờn.
  • Ăn thực phẩm lành mạnh, hạn chế đồ ngọt và đồ ăn nhẹ giữa các bữa ăn.
  • Đi lấy cao răng và khám răng định kỳ
  • Sử dụng nước ngậm răng miệng từ thảo dược để loại bỏ mảng bám chân răng.

Điều trị viêm chân răng hàm có mủ như thế nào?

Viêm chân răng hàm có mủ
Điều trị viêm chân răng hàm có thể cần phải lấy tủy răng
 
Để điều trị triệt để tình trạng viêm chân răng có mủ thì nên tới khám và điều trị với nha sĩ càng sớm càng tốt. Ở đây, người bệnh sẽ được chẩn đoán chính xác và có cách điều trị phù hợp.
 
Về nguyên tắc điều trị viêm chân răng có áp xe mủ thì:
  • Cô lập ổ viêm nhiễm bằng thuốc kháng sinh
  • Giảm các triệu chứng khó chịu: giảm đau, hạ sốt, chống viêm, giảm sưng,…
  • Loại bỏ ổ viêm nhiễm: Bác sĩ sẽ thực hiện thủ thuật để loại bỏ ổ áp xe khi nhiễm trùng được điều trị ổn định và an toàn khi thực hiện.
Thủ thuật để loại bỏ ổ viêm có mủ gồm:
  • Rạch và dẫn lưu mủ: Nha sĩ cần rạch một đường nhỏ ở ổ áp xe để mủ chảy ra ngoài. Sau đó, họ sẽ rửa khu vực viêm chân răng hàm bằng nước muối. Đôi khi, cần một ống dẫn lưu nhỏ bằng cao su đặt tại răng bị viêm để giúp thoát mủ, giảm sưng tấy vùng lợi.
  • Loại bỏ tủy răng: Đây là cách giúp loại bỏ nhiễm trùng và bảo vệ răng. Để thực hiện thì nha sĩ sẽ khoan sâu vào trong răng, loại bỏ mô tủy răng bị viêm nhiễm và dẫn lưu áp xe. Sau đó, nha sĩ sẽ lấp đầy và hàn kín buồng tủy và ống tủy của răng. Răng có thể cần phải bọc mão răng để chúng chắc khỏe hơn, đặc biệt đối với răng hàm. Răng bị mất tủy nếu được chăm sóc đúng cách vẫn có thể tồn tại suốt đời.
  • Nhổ răng: Nếu như không thể cứu được răng bị viêm chân răng có mủ thì bác sĩ cần nhổ răng và dẫn lưu áp xe để loại bỏ nhiễm trùng.

Hướng dẫn cách khắc phục tại nhà khi bị viêm chân răng hàm có mủ

Trong trường hợp, bạn thấy đau nhức răng hàm, sờ vào lợi cảm thấy sưng đau mà chưa có điều kiện để tới khám nha sĩ ngay lập tức, thì có thể thực hiện một số cách sau để giảm bớt khó chịu:
  • Súc miệng bằng nước muối ấm
  • Sử dụng thuốc giảm đau không kê đơn như acetaminophen và ibuprofen
  • Xịt dung dịch răng miệng thảo dược: Là sản phẩm kết hợp các loại thảo dược giúp hỗ trợ giảm đau nhức răng, giảm sưng tấy lợi dưới dạng xịt. Khi bị đau răng do viêm chân răng bạn nên xịt dung dịch vào tổn thương mỗi ngày ít nhất 8 lần, cách nhau 2 – 3 giờ, mỗi lần xịt 1 – 2 nhịp. Tiêu biểu như sản phẩm Xịt Răng Miệng thảo dược.
Đào Tâm
Theo Giáo dục & Cuộc sống/ Giáo dục & Thời đại
Link báo gốc: https://cuocsong.giaoducthoidai.vn/viem-chan-rang-ham-co-mu-gay-dau-nhuc-phai-lam-sao-n18357.html
Viêm chân răng hàm có mủ

XỊT RĂNG MIỆNG NHẤT NHẤT

Giúp giảm nhanh:
- Viêm nướu, tụt lợi, chảy máu chân răng
- Đau rát, viêm loét miệng
Viêm chân răng hàm có mủ
Thành phần:
Kim ngân hoa; Lá trầu không; Hoa đu đủ đực; Lá đào; Natri benzoat, Tinh dầu bạc hà, Nước tinh khiết vừa đủ 20ml. 
Công dụng:
- Hỗ trợ làm giảm đau nhức răng, hỗ trợ ngăn ngừa và làm giảm viêm lợi do sâu răng, viêm chân răng, viêm nướu, tụt lợi, chảy máu chân răng.  
- Hỗ trợ làm giảm sưng tấy, đau rát miệng do viêm loét miệng.
 Cách dùng:
Lắc kĩ trước khi dùng.
Súc miệng bằng nước ấm trước khi xịt.
Xịt vào tổn thương ngày ít nhất 8 lần, cách nhau 2-3 giờ, mỗi lần xịt 1-2 nhịp. Giữ lại vài giây và sau đó nuốt. Không ăn uống trong vòng 20 phút sau khi xịt.
Bệnh nặng có thể xịt nhiều lần hơn.
Chú ý: Thận trọng cho phụ nữ có thai, cho con bú và trẻ em dưới 2 tuổi. 
Quy cách đóng gói:
Hộp 1 chai x 20ml.
Bảo quản:
Nơi khô, dưới 30°C, tránh ánh sáng mặt trời.
Tiêu chuẩn: Tiêu chuẩn cơ sở
Hạn dùng: 36 tháng kể từ ngày sản xuất 
Sản xuất tại: CÔNG TY TNHH DƯỢC PHẨM NHẤT NHẤT
Địa chỉ: Cụm công nghiệp Liên Hưng, ấp Bình Tiền 2, xã Đức Hòa Hạ, huyện Đức Hòa, tỉnh Long An
Điện thoại: 1800.6689 Fax: (0272).3817337
Thông tin chi tiết xem tại: Xịt Răng Miệng Nhất Nhất
 

 

Sản phẩm

Hoạt Huyết Nhất Nhất

Điều trị thiểu năng tuần hoàn não, đau bụng kinh do huyết ứ

Dung dịch Xịt Họng Nhất Nhất

Tác dụng tại chỗ, làm dịu niêm mạc họng, hỗ trợ làm giảm các tình trạng ho, ngứa họng, đau rát họng, khản tiếng do ảnh hưởng của viêm họng, viêm amidan, viêm thanh quản.

TPBVSK Bột men vi sinh MENBIO

Men vi sinh MENBIO bổ sung lợi khuẩn đường ruột, hỗ trợ giảm rối loạn tiêu hóa, giúp giảm các triệu chứng: tiêu chảy, chướng bụng đầy hơi do loạn khuẩn đường ruột.

Dung dịch vệ sinh mũi Zenko trẻ em

Zenko trẻ em giúp hỗ trợ làm sạch niêm mạc mũi, tác nhân gây bệnh... Hỗ trợ phòng ngừa và làm giảm nhẹ nghẹt mũi, sổ mũi, giúp mũi thông thoáng, dễ thở hơn.

Giải Độc Gan
Nhất Nhất

Viêm gan, hỗ trợ điều trị viêm gan B cấp và mãn tính; Bảo vệ và tái tạo gan, giải độc gan, chống dị ứng

QUE THỬ THAI
QUICK 3

Que thử thai được dùng cho việc hỗ trợ chẩn đoán thai ngoài tử cung và mang thai sớm.

TPBVSK Siro cảm
Nhất Nhất

Siro Cảm Nhất Nhất Thảo dược giải cảm, an toàn cho bé

Giải Cảm Nhất Nhất

Thuốc Giải cảm Nhất Nhất Thảo dược trị cảm, hết hắt hơi, sổ mũi, đau nhức cơ thể
Công ty TNHH Nhất Nhất
  • Trụ sở chính: 272 Lê Trọng Tấn, Phường Phương Liệt, Hà Nội
  • Tel: 024.35 62 5766 - Hotline: 18006689
  • Email: lienhe@nhatnhatgroup.com
  • Chi nhánh Hồ Chí Minh: 194/3 Trần Huy Liệu, Phường Cầu Kiệu, Thành phố Hồ Chí Minh
Giấy phép số: 23/GP-STTTT ngày 28/02/2025 của Sở thông tin và truyền thông, UBND TP Hà Nội
 
Giấy phép đăng ký kinh doanh số ‎0101983927 cấp ngày 27/06/2006
 
Người chịu trách nhiệm nội dung: Lê Đức Lộc
 
© 2018. Bản quyền thuộc về Nhatnhat.com.
hotline chat zalo chat message