Công ty TNHH Nhất Nhất

Xử lý khi bị viêm lợi trùm như thế nào cho hiệu quả?

2021/12/09 11:51
Viêm lợi trùm gây đau nhức nghiêm trọng. Chi tiết hình ảnh viêm lợi trùm và cách xử lý khi bị viêm lợi trùm sao cho hiệu quả, giảm đau đớn và không ảnh hưởng đến cuộc sống hàng ngày.
 
viêm lợi trùm
Có nhiều cách giúp giảm viêm lợi trùm răng

Viêm lợi trùm là gì?

Viêm lợi trùm là tình trạng mô nướu bị viêm hoặc sưng tấy che phủ lên trên bề mặt của răng. Tình trạng này phổ biến hơn ở răng hàm dưới và thường xảy ra xung quanh răng khôn. Hầu hết người mắc phải tình trạng lợi trùm răng là ở cuối tuổi thiếu niên hoặc đầu những năm 20 tuổi.
 
Khi xem hình ảnh bị viêm lợi trùm là phần lợi bao phủ trên bề mặt răng. Lợi trùm có thể phủ kín hoặc phủ một phần răng. Bình thường, khi răng mọc phần lợi này sẽ dần tiêu biến. Tuy nhiên, một số trường hợp phần lợi trùm này sẽ che phù và cản trở sự phát triển của răng gây đau đớn. Về lâu dài khi răng mọc lên, đẩy một phần lợi trùm tạo nên khoảng trống dưới lợi. Trong trường hợp này, nếu không chăm sóc và vệ sinh răng miệng cẩn thận, rất có thể lợi sẽ viêm và sưng.
 
Viêm lợi trùm răng khôn có thể hình thành khi răng khôn chỉ nhú 1 phần (đâm thủng nướu). Sự phát triển mô mềm trên chiếc răng khôn đã mọc 1 phần được gọi là túi lợi, tạo điều kiện cho vi khuẩn trú ngụ, tăng sinh và gây bệnh nhiễm trùng, sưng tấy tại chỗ rồi sẽ lan rộng sau đó.
 
Trong một số trường hợp nghiêm trọng, tình trạng sưng tấy và nhiễm trùng trong viêm lợi trùm răng nói chung, viêm lợi trùm lên răng khôn nói riêng có thể kéo dài ra khỏi hàm đến má, cổ.
 
 
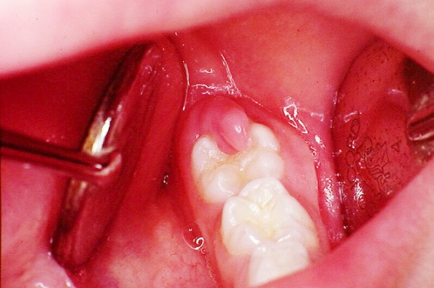
viêm lợi trùm
Hình ảnh viêm lợi trùm lên răng gây đau nhức

Nhận biết sớm khi bị viêm lợi trùm

Các triệu chứng của tình trạng viêm lợi trùm có thể xảy ra ở dạng cấp tính hoặc mạn tính trong thời gian dài. Có một số dấu hiệu giúp nhận biết tình trạng viêm lợi trùm, bao gồm:
  • Lợi sưng đỏ: Phần lợi trùm trên phần mọc răng khôn bị sưng phồng và tấy đỏ. Khi ấn vào phần lợi trùm, sẽ thấy đau đớn. Có thể thấy chảy nước và mủ.
  • Đau răng: Đối với tình trạng lợi trùm bị viêm có mủ, bạn sẽ cảm nhận thấy những cơn đau ở răng. Cảm giác đau sẽ kéo dài, thậm chí nuốt nước bọt hay há miệng đều đau điếng. Lợi trùm khi bị viêm nặng sẽ gây viêm ảnh hưởng quanh thân răng và hàm.
  • Sốt và nổi hạch: Khi lợi trùm bị viêm và có mủ, có thể gây sốt. Phần góc hàm bị sưng và có xuất hiện hạch ở vùng cổ. Đây là những biểu hiện chứng tỏ sự viêm nhiễm.
  • Chảy nước miếng: Lợi trùm bị viêm và sưng to sẽ gây khó ngậm miệng như bình thường. Khi đi ngủ có thể xuất hiện tình trạng nước miếng bị chảy ra và có mùi hôi khó chịu.
viêm lợi trùm
Lợi trùm răng bị sưng đỏ, gây đau rát và chảy nước miếng nhiều

Xử lý viêm lợi trùm răng như thế nào?

1. Vệ sinh tại chỗ

Nếu chỉ bị viêm lợi trùm chỉ ở một vùng nhỏ và chưa lan rộng ra thì có thể điều trị bằng cách loại bỏ các mảnh vụn thức ăn và mảng bám vi khuẩn trên răng và súc miệng. Cuối cùng, người bệnh sẽ được hướng dẫn chải răng, chăm sóc răng miệng tại nhà và đảm bảo cho phần lợi trùm không bị kẹt lại bởi thức ăn.
 
Người bệnh cũng có thể súc miệng với các dung dịch nước ngậm răng miệng thảo dược đặc hiệu sẽ có vai trò hỗ trợ làm sạch tối ưu, khử khuẩn, giúp giảm tình trạng đau nhức hiệu quả.

>> Xem thêm Lý giải tại sao cần phải bảo vệ răng miệng đúng cách
 
 
viêm lợi trùm
Nước ngậm Răng miệng Nhất Nhất hỗ trợ làm sạch tối ưu

2. Điều trị nội khoa

Người bệnh có thể sẽ được bác sĩ kê một số loại thuốc giảm đau để giúp giảm bớt khó chịu khi ăn. Viêm lợi trùm răng khôn uống thuốc gì phụ thuộc vào tình trạng viêm lợi của mỗi bệnh nhân.
 
Nếu hàm, răng và phần má bị sưng đau thì có thể người bệnh sẽ cần phải điều trị nhiễm trùng bằng thuốc kháng sinh. Sử dụng kháng sinh điều trị lợi viêm được coi là một phương pháp giải quyết tạm thời tình trạng viêm lợi. Nha sĩ thường kê kháng sinh trong khoảng 5 ngày. Sau 5-7 ngày, phần lợi trùm sẽ dần ổn định. 
 
Tuy nhiên, đây chỉ là giải pháp tạm thời giúp chữa viêm lợi. Tình trạng viêm lợi sẽ có thể tái phát. Khi sử dụng các loại thuốc kháng sinh này sẽ phần nào gây ảnh hưởng tới dạ dày vì vậy người bệnh cần lưu ý sử dụng đúng theo đơn của bác sĩ.

3. Tiểu phẫu cắt bỏ lợi

Nếu lợi trùm răng gây đau nhức hoặc tái phát thường xuyên thì phải tiến hành phẫu thuật cắt bỏ. 
 
Cắt lợi trùm là một tiểu phẫu nhỏ được sử dụng trong nha khoa giúp loại bỏ phần lợi mọc trùm lên răng khôn. Trong trường hợp răng khôn mọc thẳng, các nha sĩ sẽ tiến hành thủ thuật này. Cắt lợi trùm sẽ giúp giải phóng không gian và tạo điều kiện cho răng khôn tiếp tục mọc lên.
 
Khi thực hiện cắt lợi trùm, các nha sĩ sẽ tiến hành vệ sinh khoang miệng và gây tê phần lợi cần loại bỏ. Sau đó, nha sĩ sẽ sử dụng Laser để cắt mặt trong, mặt ngoài và loại bỏ phần gốc lợi trùm. Cảm giác đau, sưng và rỉ máu nhẹ sẽ là điều không thể tránh khỏi sau khi cắt lợi trùm. Thông thường, sau khoảng 1-2 tuần phần lợi sẽ hoàn toàn bình phục.

4. Nhổ răng

Trong trường hợp phần lợi bị viêm và sưng nhẹ cho răng khôn mọc. Đồng thời, phần lợi viêm không bị nhiễm trùng, phần lợi viêm sẽ hoàn toàn có thể tự khỏi sau 3-4 ngày. Tuy nhiên, một điều chắc chắn, phần lợi trùm này sẽ tiếp tục bị sưng và viêm trở lại trong tương lai. Lý do là bởi, răng khôn sẽ tiếp tục phát triển. Khi phần lợi bị hở ra một phần trên bề mặt răng khôn, đây sẽ trở thành nơi dễ bị kẹt lại thức ăn. Từ đó, vi khuẩn sẽ lại gây viêm cho phần lợi này.
 
Do vậy nếu răng khôn vẫn không thể mọc vào vị trí bình thường thì cần phải phẫu thuật để lấy nó ra. Thông thường, nha sĩ sẽ khuyên người bệnh nhổ răng khôn cả hàm trên và hàm dưới để ngăn răng trên bị cắn vào nướu và khiến việc nhiễm trùng tái phát.

>> Xem thêm Tiết lộ ngay 8 cách điều trị viêm nướu răng từ tự nhiên
 
viêm lợi trùm
Nhổ răng là sẽ giúp giải quyết tình trạng viêm

Cách khắc phục viêm lợi trùm tại nhà

Bạn có thể thực hiện một số biện pháp sau tại nhà để giúp khắc phục tình trạng viêm lợi trùm:
  • Dùng bàn chải mềm, chải răng thường xuyên và đúng cách. Áp dụng thêm một số biện pháp làm sạch toàn diện như tăm nước, chỉ nha khoa.
  • Súc miệng bằng nước muối ấm hoặc nước ngậm răng miệng thảo dược
  • Tuyệt đối không tự điều trị nếu bệnh đã chuyển sang giai đoạn nhiễm trùng tại chỗ hoặc lan ra toàn thân.

Nước Ngậm Răng Miệng Nhất Nhất – hỗ trợ giảm đau răng, viêm lợi

Khác với nước súc miệng thông thường, khi dùng nước ngậm răng miệng cần ngậm dung dịch trong khoang miệng lâu hơn, khoảng 5-10 phút. Trong quá trình ngậm thỉnh thoảng súc nhẹ rồi nhổ bỏ. Thời gian ngậm dung dịch trong miệng lâu giúp dung dịch len lỏi sâu vào kẽ răng, góc khoang miệng giúp hỗ trợ làm sạch tối ưu, hỗ trợ sát khuẩn và giúp giảm viêm lợi hiệu quả.
 
Nước ngậm răng miệng có thành phần thảo dược tự nhiên nên không gây kích ứng, cũng không gây khô miệng và khó chịu sau khi sử dụng. 
Sản phẩm có bán tại các nhà thuốc trên toàn quốc.
Ds. Hải Nguyên
Theo Giáo dục & Cuộc sống/Giáo dục & Thời đại
viêm lợi trùm

NƯỚC NGẬM RĂNG MIỆNG NHẤT NHẤT

viêm lợi trùm
Thành phần: Huyền sâm, Cam thảo nam, Lá lấu, Xuyên tiêu, Natri benzoate, Nước tinh khiết vừa đủ.
Công dụng:
- Hỗ trợ làm giảm nhanh đau nhức răng, hỗ trợ ngăn ngừa và làm giảm viêm lợi do sâu răng, viêm chân răng, viêm nướu tụt lợi, chảy máu chân răng, răng lung lay.
- Hỗ trợ làm giảm sự nhạy cảm của răng, ê buốt với môi trường nóng, lạnh, chua, làm giảm mảng bám, cao răng.
- Hỗ trợ ngăn ngừa, làm giảm viêm loét miệng do nhiệt và giảm nhanh đau rát do viêm loét miệng do nhiệt.
- Bảo vệ sức khỏe răng miệng toàn diện, làm sạch răng miệng, khử mùi hôi, hỗ trợ ngăn ngừa các bệnh viêm nhiễm về đường răng miệng, cho hơi thở thơm tho.
Nhà sản xuất: CÔNG TY TNHH DƯỢC PHẨM NHẤT NHẤT
Địa chỉ: Cụm công nghiệp Liên Hưng, ấp Bình Tiền 2, xã Đức Hòa Hạ, huyện Đức Hòa, tỉnh Long An.
Điện thoại: 1800.6689 (Trong giờ hành chính).  Fax: (0272) 3.817.337
 

 

Sản phẩm

Hoạt Huyết Nhất Nhất

Điều trị thiểu năng tuần hoàn não, đau bụng kinh do huyết ứ

Dung dịch Xịt Họng Nhất Nhất

Tác dụng tại chỗ, làm dịu niêm mạc họng, hỗ trợ làm giảm các tình trạng ho, ngứa họng, đau rát họng, khản tiếng do ảnh hưởng của viêm họng, viêm amidan, viêm thanh quản.

TPBVSK Bột men vi sinh MENBIO

Men vi sinh MENBIO bổ sung lợi khuẩn đường ruột, hỗ trợ giảm rối loạn tiêu hóa, giúp giảm các triệu chứng: tiêu chảy, chướng bụng đầy hơi do loạn khuẩn đường ruột.

Dung dịch vệ sinh mũi Zenko trẻ em

Zenko trẻ em giúp hỗ trợ làm sạch niêm mạc mũi, tác nhân gây bệnh... Hỗ trợ phòng ngừa và làm giảm nhẹ nghẹt mũi, sổ mũi, giúp mũi thông thoáng, dễ thở hơn.

Giải Độc Gan
Nhất Nhất

Viêm gan, hỗ trợ điều trị viêm gan B cấp và mãn tính; Bảo vệ và tái tạo gan, giải độc gan, chống dị ứng

QUE THỬ THAI
QUICK 3

Que thử thai được dùng cho việc hỗ trợ chẩn đoán thai ngoài tử cung và mang thai sớm.

TPBVSK Siro cảm
Nhất Nhất

Siro Cảm Nhất Nhất Thảo dược giải cảm, an toàn cho bé

Giải Cảm Nhất Nhất

Thuốc Giải cảm Nhất Nhất Thảo dược trị cảm, hết hắt hơi, sổ mũi, đau nhức cơ thể
Công ty TNHH Nhất Nhất
  • Trụ sở chính: 272 Lê Trọng Tấn, Phường Phương Liệt, Hà Nội
  • Tel: 024.35 62 5766 - Hotline: 18006689
  • Email: lienhe@nhatnhatgroup.com
  • Chi nhánh Hồ Chí Minh: 194/3 Trần Huy Liệu, Phường Cầu Kiệu, Thành phố Hồ Chí Minh
Giấy phép số: 23/GP-STTTT ngày 28/02/2025 của Sở thông tin và truyền thông, UBND TP Hà Nội
 
Giấy phép đăng ký kinh doanh số ‎0101983927 cấp ngày 27/06/2006
 
Người chịu trách nhiệm nội dung: Lê Đức Lộc
 
© 2018. Bản quyền thuộc về Nhatnhat.com.
hotline chat zalo chat message