Viêm da tiếp xúc dị ứng là một dạng của viêm da tiếp xúc, một trong những bệnh lý viêm da phổ biến. Hầu hết trường hợp viêm da tiếp xúc dị ứng thường khỏi sau 1-2 tuần, nhưng đôi khi nó có tiến triển sang giai đoạn mãn tính dai dẳng.
.jpg)
Viêm da tiếp xúc dị ứng là một dạng viêm da tiếp xúc
MỤC LỤC
|
.jpg)
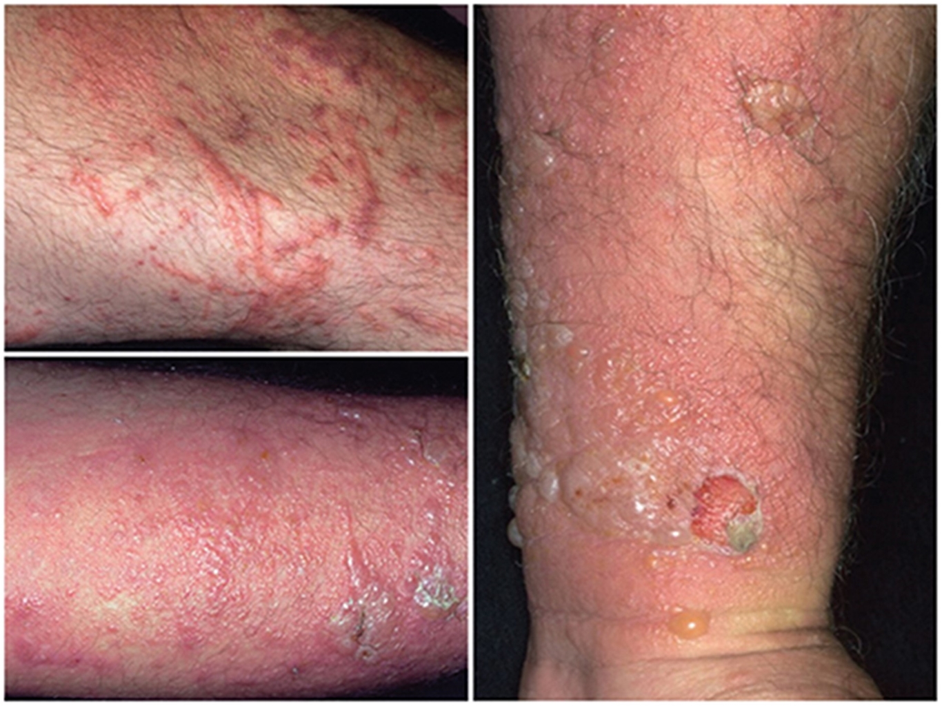
Các tổn thương trên da do viêm da dị ứng tiếp xúc
Viêm da tiếp xúc dị ứng xảy ra khi hệ thống miễn dịch phản ứng quá mức với một chất gây dị ứng cụ thể.
Trong một số trường hợp, nguyên nhân gây viêm da tiếp xúc có thể khó xác định, đặc biệt là nếu phản ứng chậm hoặc nếu có nhiều chất liên quan.
Các yếu tố nguyên nhân gây dị ứng trên da khi tiếp xúc thường gặp bao gồm:
Vào mùa hè, nhiệt độ thường tăng cao khiến cơ thể bị tiết nhiều mồ hôi, dễ bám bẩn gây bệnh viêm da tiếp xúc.
Các yếu tố làm tăng nguy cơ dị ứng da khi tiếp xúc là:
Mức độ nghiêm trọng của phản ứng có thể khác nhau tùy thuộc vào mức độ nhạy cảm của từng cá nhân với chất gây dị ứng, lượng tiếp xúc và thời gian tiếp xúc.
Các triệu chứng phổ biến bao gồm:
Việc lựa chọn phương pháp điều trị viêm da tiếp xúc dị ứng phụ thuộc vào mức độ nghiêm trọng của phản ứng, vị trí da bị ảnh hưởng, tiền sử bệnh lý và sở thích của từng cá nhân.
Phương pháp điều trị hiệu quả nhất cho bệnh viêm da tiếp xúc dị ứng là xác định và tránh chất gây dị ứng đã biết gây ra bùng phát.
Điều này có thể bao gồm việc thay đổi các sản phẩm chăm sóc cá nhân, quần áo hoặc vật liệu làm việc.

Các tác nhân có thể gây viêm da dị ứng khi tiếp xúc
Quang trị liệu là một phương pháp điều trị khác sử dụng các bước sóng ánh sáng cụ thể để giúp giảm viêm và cải thiện.
Phương pháp này thường được dùng trong các trường hợp viêm da tiếp xúc dị ứng nghiêm trọng và thường được kết hợp với các phương pháp điều trị khác.
Liệu pháp ánh sáng cực tím (UV) có thể được khuyến nghị để giúp làm dịu da bằng cách ức chế phản ứng miễn dịch.
Phương pháp điều trị này bao gồm việc tiếp xúc da với lượng ánh sáng UV được kiểm soát bởi các chuyên gia có kinh nghiệm.
Các triệu chứng dị ứng trên da có thể được cải thiện bằng cách sử dụng thuốc dùng ngoài da và thuốc uống.
Corticosteroid tại chỗ thường được kê đơn để giúp giảm viêm, ngứa và đỏ liên quan đến viêm da tiếp xúc dị ứng.
Việc dùng thuốc cần phải tuân thủ theo chỉ định của bác sĩ, tránh tình trạng da bị nghiện Corticosteroid.
Thuốc ức chế miễn dịch có tác dụng giúp ức chế phản ứng của hệ thống miễn dịch với chất gây dị ứng.
Thuốc kháng histamin đường uống có thể giúp làm giảm phát ban ngứa và các triệu chứng dị ứng khác liên quan đến viêm da tiếp xúc dị ứng.
Chúng hoạt động bằng cách ngăn chặn hoạt động của histamine, một chất hóa học được hệ thống miễn dịch giải phóng trong phản ứng dị ứng.
Tiêm dị ứng, còn được gọi là liệu pháp miễn dịch dị ứng, có thể được khuyến nghị cho những bệnh nhân bị viêm da tiếp xúc dị ứng nghiêm trọng không đáp ứng với các phương pháp điều trị khác.
Một lượng nhỏ chất gây dị ứng vào cơ thể để giúp hệ thống miễn dịch hình thành đáp ứng miễn dịch theo thời gian.
Việc này giúp làm giảm mức độ nghiêm trọng của các phản ứng dị ứng và nhu cầu dùng thuốc.
Mặc dù không thể tránh khỏi hoàn toàn các tác nhân có thể gây ra dị ứng, một số biện pháp phòng ngừa sau đây có thể giúp giảm nguy cơ mắc bệnh:
Xác định và tránh các chất gây dị ứng đã biết
Sử dụng các sản phẩm chăm sóc cá nhân không gây dị ứng
Đeo găng tay khi xử lý các chất gây kích ứng tiềm ẩn, chẳng hạn như các sản phẩm tẩy rửa hoặc một số kim loại
Rửa tay thật sạch sau khi tiếp xúc với các chất gây dị ứng tiềm ẩn
Thoa kem bảo vệ để bảo vệ da khỏi các yếu tố nguy cơ
Để chăm sóc một làn da nhạy cảm, đặc biệt là làn da đang có tình trạng viêm da tiếp xúc dị ứng, điều quan trọng là sử dụng các sản phẩm chăm sóc không có các chất có khả năng gây kích ứng.
Làm sạch là một trong những bước quan trọng quy trình chăm sóc da, giúp loại bỏ bụi bẩn trên da, và làm sạch lỗ chân lông để tránh tổn thương thêm cho da.
Không chỉ vậy, việc làm sạch da đúng cách còn có ích trong việc đẩy nhanh tốc độ làm lành các tổn thương trên da.
Sữa rửa mặt không bọt với công thức làm sạch không chứa xà phòng, không có chất gây kích ứng, pH trung tính phù hợp với môi trường tư nhiên của da, phù hợp với mọi loại da, kể cả da nhạy cảm và da dễ bị kích ứng.
Các nàng nếu có tình trạng da nhạy cảm, dễ nổi mun hay viêm da dị ứng tiếp xúc đang cần tìm một sản phẩm làm sạch vừa hiệu quả, vừa an toàn cho da có thể tham khảo sử dụng.
Dược sĩ Thu Hà
Theo Giáo dục & Cuộc sống/Giáo dục & Thời đại
Link báo gốc: https://cuocsong.giaoducthoidai.vn/dau-hieu-nhan-biet-viem-da-tiep-xuc-di-ung-pho-bien-nhat-n26814.html

Sữa rửa mặt Lenka
Đặc điểm nổi bật:
Sữa rửa mặt đặc biệt độ pH cân bằng, không xà phòng, không tạo bọt, không kích ứng da Dùng cho tất cả các loại da: khô, nhờn, dày, mỏng, nhạy cảm, đặc biệt thích hợp cho vùng da bị khô, sạm, nám, tàn nhang, trứng cá Vừa làm sạch nhẹ nhàng, vừa làm mềm dịu da, giúp da giữ độ ẩm cần thiết, tránh khô da, căng da Không nhờn, không bịt kín lỗ chân lông, không tẩy màng bảo vệ tự nhiên của da Dùng để tẩy trang, rửa sạch da mặt, các vùng da nhạy cảm. Thành phần: Water, Glycerine, Cetostearyl alcohol, Propylene glycol, Cetyl alcohol, Ceteareth, Carbomer, Sodium hyaluronate, Lactic acid, Potassium sorbate. Cách dùng:
Rửa mặt khô:
Thoa sữa lên da và xoa nhẹ vài lần cho thấm. Dùng vải, bông tẩy trang hay giấy vệ sinh mềm lau phần sữa dư trên da (có lẫn chất bẩn). Màng sữa đã thấm vào da còn lại sẽ làm dịu và giữ ẩm da.
Rửa mặt với nước:
Làm ướt da, thoa sữa lên da. Xoa nhẹ vài lần sau đó rửa sạch bằng nước.
Có thể dùng nhiều lần trong ngày mà không gây hại da. Chú ý: Trường hợp da quá nhờn, trang điểm đậm, quá nhiều bụi bẩn thì rửa thêm một lần nữa. Đóng gói: chai 50ml, 150ml Tổ chức chịu trách nhiệm về sản phẩm: CÔNG TY TNHH DƯỢC PHẨM NHẤT NHẤT Địa chỉ: Cụm công nghiệp Liên Hưng, ấp Bình Tiền 2, xã Đức Hòa Hạ, huyện Đức Hòa, tỉnh Long An Fax: (0272).3817337 Số tiếp nhận Phiếu công bố: 0060/23/CBMP-LA
Thông tin chi tiết xem tại: Sữa rửa mặt Lenka
|