Công ty TNHH Nhất Nhất

Tìm hiểu 4 giai đoạn của bệnh thoái hóa khớp gối

2019/08/09 14:19
Thoái hóa khớp gối được chia thành 4 giai đoạn theo tiêu chuẩn chẩn đoán thoái hoá khớp của Kellgren và Lawrence. Trong đó giai đoạn 4 là gian đoạn nghiêm trọng nhất.
 
thoái hóa khớp gối
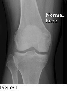
Hình ảnh so sánh giữa khớp bình thường và khớp bị thoái hóa khớp gối

Thoái hóa khớp gối là gì?

Khớp gối giúp nâng đỡ toàn bộ sức nặng của cơ thể, cũng là vùng chịu sức ép khi chúng ta cố gắng nâng một vật nặng lên, vì thế vùng này rất dễ bị tổn thương, viêm sưng… Thoái hóa khớp gối là một trong những bệnh lý thường gặp ở khớp gối, thường xảy ra ở người cao tuổi, đăc biệt là nữ giới.
Tổn thương chính trong thoái hóa khớp gối biểu hiện bởi tình trạng mòn và bong nứt lớp sụn. Lớp sụn khớp bị bào mòn sẽ để lộ xương dưới sụn, khi vận động khớp gối, hai đầu xương sẽ cọ xát vào nhau dẫn đến kích thích dây thần kinh gây đau.
Ngoài tổn thương ở sụn khớp và các biến đổi ở bề mặt khớp còn bao gồm: sự viêm dày của bao hoạt dịch khớp gối, sự hình thành gai xương ở rìa khớp gối gây ra những cơn đau mạn tính và cuối cùng là sự biến dạng khớp gây ảnh hưởng trực tiếp đến chức năng vận động khớp gối.
>> Xem thêm Cách đối phó với đau nhức xương khớp do thoái hóa khớp

Các giai đoạn của thoái hóa khớp gối

Để phân biệt các giai đoạn của bệnh thoái hóa khớp gối, cần dựa vào phim X- quang theo tiêu chuẩn chẩn đoán thoái hoá khớp của Kellgren và Lawrence như sau:

1. Giai đoạn 1: Thoái hóa khớp gối độ 1

Hình ảnh khớp gối trên phim X-quang: Khe khớp gần như bình thường, có thể có gai xương nhỏ.

Thoái hóa khớp gối giai đoạn 1

Ở giai đoạn đầu tiên, khớp gối chưa có dấu hiệu bất thường cho thấy bị thoái hóa khớp gối. Bệnh nhân đi lại bình thường, chưa xuất hiện cơn đau khớp hoặc có thể chỉ đau khớp gối khi đứng lên ngồi xuống, ngồi xổm, lên xuống cầu thang. Khớp gối cũng chưa bị sưng và không biến dạng. Nếu chụp thêm MRI có thể thấy khớp gối gần như bình thường.
Lưu ý điều trị:
Nếu không có các triệu chứng bên ngoài của viêm khớp để điều trị, bệnh nhân sẽ không phải trải qua bất kỳ phương pháp điều trị nào cho viêm khớp giai đoạn 1.
Tuy nhiên, nếu bệnh nhân có khuynh hướng hoặc có nguy cơ cao, bệnh nhân nên uống thuốc bổ, chẳng hạn như glucosamine và chondroitin, hoặc bắt đầu tập thể dục để giảm nhẹ các triệu chứng thoái hóa khớp gối và làm chậm sự tiến triển của thoái hóa khớp.

2. Giai đoạn 2: Thoái hóa khớp gối độ 2

Hình ảnh của khớp gối trên phim X-quang: Khe khớp hẹp nhẹ, có gai xương nhỏ.

Thoái hóa khớp gối giai đoạn 2 vẫn là giai đoạn nhẹ

Giai đoạn 2 vẫn được xem là giai đoạn tiến triển nhẹ, xem trên phim X-quang có thể thấy kích thước bề mặt sụn khớp vẫn chưa có sự thay đổi nhiều. Bao hoạt dịch khớp vẫn hoạt động bình thường, cung cấp đủ dịch khớp để nuôi dưỡng sụn và bôi trơn ổ khớp, giúp các đầu xương hoạt động được trơn tru. Mặc dù vậy, bệnh nhân vẫn có thể xuất hiện một số triệu chứng như đau mỏi ở khớp gối sau khi vận động nhiều hoặc khi làm việc quá sức, làm việc sai tư thế; cứng khớp khi trời lạnh hoặc do ít vận động khớp.
Lưu ý điều trị:
Ở giai đoạn 2, bệnh nhân cần phải hết sức thận trọng trong quá trình sinh hoạt và lao động để tránh những tác động xấu lên khớp thúc đẩy quá trình thoái hóa khớp. Người bệnh cần xây dựng cho mình lối sống khoa học: ăn uống phù hợp; kiểm soát cân nặng tránh để tránh thừa cân; hạn chế các tư thế xấu trong sinh hoạt như ngồi xổm, quỳ lạy; tập các bài thể dục thể dục nhẹ nhàng hoặc tham gia các môn có lợi (bơi lội, tập yoga, thái cực quyền) để tăng cường sức khỏe cơ xương khớp. Người nhà nên xem thêm bài viết Hướng dẫn chăm sóc người bệnh thoái hóa khớp gối đúng cách để chăm sóc tốt cho bệnh nhân.

3. Giai đoạn 3: Thoái hóa khớp gối độ 3

Hình ảnh của khớp gối trên phim X-quang: Khe khớp hẹp rõ, nhiều gai xương kích thước vừa, đặc xương dưới sụn, đầu xương có thể bị biến dạng.
thoái hóa khớp gối
Thoái hóa khớp gối tiến triển đến giai đoạn 3

Thoái hóa khớp gối tiến triển đến giai đoạn 3 thì bệnh nhân sẽ càng cảm nhận rõ những cơn đau tại khớp gối. Các lớp sụn khớp bao bọc các đầu xương bị bào mòn nhiều và khoảng không gian giữa các đầu xương bị thu hẹp thấy rõ. Khả năng đi bộ của người bệnh giảm, đi, đứng, ngồi xổm, lên xuống cầu thang cũng thấy đau. Tình trạng cứng khớp vào buổi sáng cũng xảy ra thường xuyên hơn kèm theo các đợt viêm khớp gối (sưng, đau, tràn dịch) hoặc có biểu hiện vẹo khớp gối.
Lưu ý điều trị:
Vào giai đoạn này, bệnh nhân cần phải sử dụng các thuốc giảm đau, chống viêm không steroid, thuốc bôi tại chỗ hoặc tiêm corticoid nội khớp kết hợp phương pháp vật lý trị liệu cho người thoái hóa khớp gối để cải thiện các triệu chứng của bệnh này. Bên cạnh đó, chế độ ăn uống, sinh hoạt và vận động cũng phải được điều chỉnh cho phù hợp với thể trạng người bệnh lúc này.

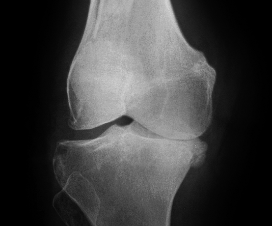
4. Giai đoạn 4: Thoái hóa khớp gối độ 4

Hình ảnh của khớp gối trên phim X-quang: Khe khớp hẹp nhiều, gai xương có kích thước lớn, đặc xương dưới sụn, đầu xương biến dạng rõ.

Thoái hóa khớp gối giai đoạn 4 là giai đoạn nặng, sụn khớp bị bào mòn

Thoái hóa khớp gối đã bước vào giai đoạn nặng, sụn khớp bị bào mòn và bong tróc gần như hoàn toàn để lộ đầu xương rõ rệt. Khoảng không gian chung giữa hai đầu xương thu hẹp đáng kể, gai xương ngày càng lớn, chất nhờn bôi trơn khớp giảm nên gây ra hiện tượng ma sát giữa hai đầu xương, gây đau nhức xương khớp nghiêm trọng. Người bệnh xuất hiện một loạt các triệu chứng đau nhức liên tục, cứng khớp, khó vận động khớp, khó đi lại… ảnh hưởng đến sinh hoạt. Theo thời gian, thoái hóa khớp gối có thể gây biến dạng khớp hoàn toàn, gây lệch trục khớp…
Lưu ý điều trị:
Thoái hóa khớp đầu gối giai đoạn 4 cần phải được điều trị tích cực bằng phương pháp nội khoa để tránh các biến chứng như hẹp khe khớp, biến dạng khớp, mất khả năng vận động khớp… Tuy nhiên, nếu điều trị nội khoa không đáp ứng có thể phải tiến hành điều trị ngoại khoa (nội soi khớp gối, đục xương chỉnh trục khớp, phẫu thuật thay khớp gối). Bệnh nhân nên cân nhắc kỹ có nên lựa chọn thay khớp nhân tạo hay không và nên tuân thủ các yêu cầu của chuyên gia, bác sĩ trong quá trình điều trị để giúp phục hồi khớp gối hiệu quả và tránh biến chứng, tái phát bệnh.
Quỳnh Trang
Theo Đời sống Plus/GĐVN


Xương khớp Nhất Nhất bổ can thận, tăng cường khí huyết, thông kinh lạc, trừ phong thấp
 
Thành phần: Đương quy 750mg, Đỗ trọng  600mg, Cẩu tích 600mg, Đan sâm 450mg, Liên nhục 450mg, Tục đoạn 300mg, Thiên ma 300mg, Cốt toái bổ 300mg, Độc hoạt 600mg, Sinh địa 600mg, Uy linh tiên 450mg, Thông thảo 450mg, Khương hoạt 300mg, Hà thủ ô đỏ 300mg.
Chỉ định: Trị các chứng đau lưng, đau cột sống, đau thần kinh tọa, các chứng phong tê thấp: thoái hóa khớp, viêm khớp dạng thấp, nhức mỏi, cứng cơ xương khớp, tay chân tê bại. Hỗ trợ điều trị thoái hoá, vôi hoá, gai cột sống, hỗ trợ phòng ngừa bệnh tái phát.
Thông tin sản phẩm chi tiết: XƯƠNG KHỚP NHẤT NHẤT
HOTLINE TƯ VẤN MIẾN PHÍ: 18006689
Số Giấy xác nhận nội dung quảng cáo: 191/2017/XNQC-QLD

Sản phẩm

Hoạt Huyết Nhất Nhất

Điều trị thiểu năng tuần hoàn não, đau bụng kinh do huyết ứ

Dung dịch Xịt Họng Nhất Nhất

Tác dụng tại chỗ, làm dịu niêm mạc họng, hỗ trợ làm giảm các tình trạng ho, ngứa họng, đau rát họng, khản tiếng do ảnh hưởng của viêm họng, viêm amidan, viêm thanh quản.

TPBVSK Bột men vi sinh MENBIO

Men vi sinh MENBIO bổ sung lợi khuẩn đường ruột, hỗ trợ giảm rối loạn tiêu hóa, giúp giảm các triệu chứng: tiêu chảy, chướng bụng đầy hơi do loạn khuẩn đường ruột.

Dung dịch vệ sinh mũi Zenko trẻ em

Zenko trẻ em giúp hỗ trợ làm sạch niêm mạc mũi, tác nhân gây bệnh... Hỗ trợ phòng ngừa và làm giảm nhẹ nghẹt mũi, sổ mũi, giúp mũi thông thoáng, dễ thở hơn.

Giải Độc Gan
Nhất Nhất

Viêm gan, hỗ trợ điều trị viêm gan B cấp và mãn tính; Bảo vệ và tái tạo gan, giải độc gan, chống dị ứng

QUE THỬ THAI
QUICK 3

Que thử thai được dùng cho việc hỗ trợ chẩn đoán thai ngoài tử cung và mang thai sớm.

TPBVSK Siro cảm
Nhất Nhất

Siro Cảm Nhất Nhất Thảo dược giải cảm, an toàn cho bé

Giải Cảm Nhất Nhất

Thuốc Giải cảm Nhất Nhất Thảo dược trị cảm, hết hắt hơi, sổ mũi, đau nhức cơ thể
Công ty TNHH Nhất Nhất
  • Trụ sở chính: 272 Lê Trọng Tấn, Phường Phương Liệt, Hà Nội
  • Tel: 024.35 62 5766 - Hotline: 18006689
  • Email: lienhe@nhatnhatgroup.com
  • Chi nhánh Hồ Chí Minh: 194/3 Trần Huy Liệu, Phường Cầu Kiệu, Thành phố Hồ Chí Minh
Giấy phép số: 23/GP-STTTT ngày 28/02/2025 của Sở thông tin và truyền thông, UBND TP Hà Nội
 
Giấy phép đăng ký kinh doanh số ‎0101983927 cấp ngày 27/06/2006
 
Người chịu trách nhiệm nội dung: Lê Đức Lộc
 
© 2018. Bản quyền thuộc về Nhatnhat.com.
hotline chat zalo chat message